Current IssueVolume 49(2); April 2026
-
EditorialApr 24, 2026English
In this issue: April 2026
Ji Yeon Byun
Ewha Med J 2026;49(2):e8.
-
Review articleFeb 26, 2026English
Jokbo-based learning among Korean medical students
Chul Han
Ewha Med J 2026;49(2):e9.
-
Review articleApr 15, 2026English
Clinical guidance and practical recommendations for probiotic use in patients with irritable bowel syndrome, functional constipation, and Clostridioides difficile infection considering sex-based differences: a Korean translation
Yong Sung Kim
, Seon-Young Park
, Seung Joo Kang
, et al.
Ewha Med J 2026;49(2):e10.
-
Case reportMar 13, 2026English
Compound heterozygosity with methylenetetrahydrofolate reductase (MTHFR) C677T and A1298C mutations likely causing recurrent thrombotic events in a middle-aged man: a case report
Yalini Suppu Saravanan
, Viswanathan Pandurangan, Devasena Srinivasan
Ewha Med J 2026;49(2):e11.
-
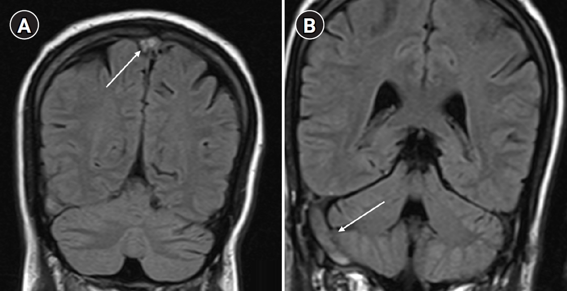
Case reportMar 26, 2026English
Atherosclerotic changes in an intrasellar persistent trigeminal artery in a patient presenting with dizziness: a case report from Korea
Jieun Byun
, Boeun Lee
Ewha Med J 2026;49(2):e12.
-
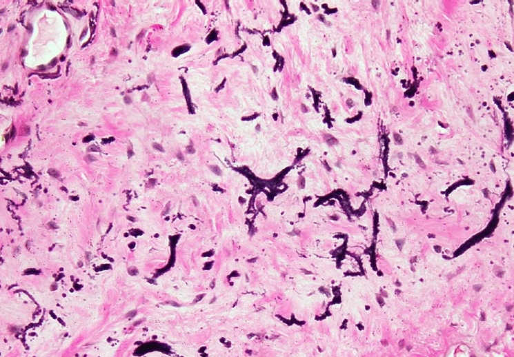
Case reportMar 25, 2026English
Elastofibroma dorsi: a rare case report emphasizing the clinical presentation, radiological diagnosis, and surgical treatment
Şükrü Kasap
, Muhammed Said Aydin
, Gokay Ozler
, et al.
Ewha Med J 2026;49(2):e13.
, Gustavo Andreis