• Contact us
  • E-Submission
ABOUT
BROWSE ARTICLES
JOURNAL POLICIES
FOR CONTRIBUTORS

Articles

Page Path

Review Article

Prevention and Management of Small-for-Size Syndrome of Liver Transplantation

2022;45(2):29-34. Published online: April 30, 2022

Department of Surgery, Seoul National University College of Medicine, Seoul, Korea

*Corresponding author : Nam-Joon Yi, Department of Surgery, Seoul National University College of Medicine, 103 Daehak-ro, Jongno-gu, Seoul 03080, Korea. Tel: 82-2-2072-2318, Fax: 82-2-766-3975, E-mail: gsleenj@snu.ac.kr
• Received: February 28, 2022   • Revised: April 14, 2022   • Accepted: April 14, 2022

© Copyright 2022 Ewha Womans University College of Medicine and Ewha Medical Research Institute

This is an Open-Access article distributed under the terms of the Creative Commons Attribution Non-Commercial License (http://creativecommons.org/licenses/by-nc/4.0) which permits unrestricted non-commercial use, distribution, and reproduction in any medium, provided the original work is properly cited.

  • 2,528 Views
  • 27 Download
next
  • Small-for-size syndrome (SFSS) is a critical complication of partial liver transplantation, particularly in adult-to-adult living donor liver transplantation (ALDLT) using a small graft. Minimally required liver graft size for a successful ALDLT is classically 40% of a standard recipient’s liver volume or 0.8% of recipient body weight. Recent progress in perioperative care and technical improvement push the lower limit of safe graft size to 25% of the recipient’s standard liver volume or 0.6% of the graft versus recipient weight ratio although this is an ongoing debate. The clinical manifestations of SFSS include various symptoms and signs related to graft dysfunction and portal hypertension in patients with small grafts. The risk factors for SFSS include poor preoperative patient condition, including portal pressure, surgical techniques to reduce portal pressure, and graft quality and size. Hence, various approaches have been explored to modulate inflow and pressure to a small graft and to decrease the outflow block to alleviate this SFSS as well as the selection of a patient and graft. Additionally, recent research and efforts to prevent and treat SFSS are reviewed. (Ewha Med J 2022;45(2):29-34)
Liver transplantation (LT) is a definite and ultimate treatment alternative for end-stage and metabolic liver diseases [1-3]. Donor shortages push the boundaries of marginal donors in deceased donor liver transplantation and living donors worldwide. In living donor liver transplantation (LDLT), the safety of both recipients and donors is in line [4].
Small-for-size syndrome (SFSS) is a critical complication of LT using a partial graft, particularly in cases of adult-to-adult ALDLT using a small graft (Fig. 1). In general, small-for-size graft (SFSG) corresponds to a graft weight <0.8% of recipient weight or a graft volume <40% of recipient’s standard liver volume (SLV) [5-8]. Recent progress in perioperative care and technical improvement in partial LT, minimally required liver graft volume for successful transplantation is an ongoing debate and has decreased to 0.6% graft versus recipient weight ratio (GRWR) (approximately 25% of the recipient’s SLV).
Fig. 1.

A small partial graft during adult-to-adult living donor liver transplantation. The patient has undergone a small right liver graft with a 0.7% graft-versus-recipient weight ratio.

emj-45-2-29-g1.jpg
The definition of SFSS varies among transplant centers. Persistent portal hypertension and hyperperfusion after SFSG transplantation have been identified as the main factors in this clinical syndrome [9,10]. Nevertheless, the SFSS is a multifaceted event. Typical clinical manifestations of SFSS are consequences of portal hypertension and graft dysfunction, presenting as more than two of the following on 3 consecutive days: (1) long-standing uncontrolled ascites (>1 L/day), (2) hyperbilirubinemia (total bilirubin >5 mg/dL), (3) coagulopathy (International normalized ratio >2), and (4) encephalopathy (≥grade 3) during the first postoperative week after transplantation and after the exclusion of other causes, such as vascular or biliary complications or rejection. Other symptoms or signs of portal hypertension can also be addressed. These manifestations can disappear or improve compared with the pre-transplantation status after graft functioning.
The factors associated with SFSS include preoperative patient condition, the natural development of varices, medical or surgical efforts to reduce portal pressure, no pressure gradient between the hepatic vein and inferior vena cava (or right atrium), graft quality, and graft size.
The main pathophysiology of SFSS is shear stress, which leads to sinusoidal microcirculatory disturbances caused by excessive portal pressure [11]. In the case of a small graft, repair and regeneration cannot overcome the damage and maintain liver function very early after transplantation. If this damage is permanent or severe, the outcome of SFSS is poor, leading to graft failure and patient death.
The early microscopic features of SFSS are ischemia related to arterial vasospasm and/or thrombosis and render hepato-cytes vulnerable to the subsequent oxidative stress leading to endothelial damage, cholestasis, hepatocyte ballooning, and ductular reaction, as well as bile duct necrosis. The late features include nodular regenerative hyperplasia [8,12,13].
Early reports on SFSS demonstrated poor patient and graft survival outcomes. Patients with both elevated portal pressure (≥20 [range 18-25] mmHg) and SFSG (≤0.8% GRWR) showed significantly worse survival outcomes, bacteremia, and longer hospital stays. If the pre-transplant patient’s condition is worse, such as old age and high model for end-stage liver disease (MELD) score, post-transplant outcomes would be much worse [5,8,11,14].
Recent reports regarding the outcomes of SFSG have shown promising results (Table 1). Small grafts are associated with poor short-term outcomes. However, the long-term outcome was not inferior in patients with small grafts [15]. Therefore, prevention, early detection, and interventions to attenuate SFSS are important. Various approaches have been explored to modulate inflow and pressure to a small graft and to decrease the outflow block to alleviate this SFSS. Along with these efforts, strict matching criteria for patient and donor pairs are also important.
Table 1.

The outcomes of liver transplantations using a SFSG

Year of study Study Country Definition Number of SFSG group Number of control group Incidence of SFSS (%) Short-term mortality in SFSG Long-term mortality (OR, 90% CI)
2008 Yi Korea <0.8% GRWR 29 - - 0% in Right 33% in Left -
2008 Ikegami Japan <35% GV/SLV 33 87 0 12.5% (1 yr) 3.25 (1.29-8.18)
2009 Selzner Canada <0.8% GRWR 22 249 9 4.5% (30 days) 0.82 (0.27-2.60)
2010 Moon Korea <0.8% GRWR 35 392 5.7 - 1.33 (0.60-2.95)
2014 Lee Korea <0.8% GRWR 50 267 8 2% (1 yr) 1.61 (0.72-3.63)*
2015 Au HongKong <35% GV/SLV 21 212 - - 1.61 (0.51-5.15)
2015 Liu China <0.8% GRWR 65 181 11 7.7% (30 days) 1.23 (0.65-2.34)
2016 Ikegami Japan <35% GV/SLV 88 119 11.4 - 0.69 (0.28-1.72)

SFSG, small for size graft; SFSS, small for size syndrome; OR, odds ratio; CI, confidence interval; GRWR, graft-versus-recipient weight ratio; GV, graft volume; SLV, standard liver volume.

*3-yr follow up.

1. Prevention of small for size syndrome
The management goal of the SFSS is to avoid SFSS. SFSS does not always occur in patients with SFSG. This can be prevented by cautiously matching the donor and recipient and applying surgical or medical modifications. Prevention of damage-related SFSG on portal hypertension is an ideal solution [8,16].
The principles for avoiding SFSS are as follows: First, it does not consider multiple risks of SFSS at once. There are several known factors related to SFSS: aged donor, graft steatosis, longer ischemic time, left small liver than right small liver, and recipient with a high MELD score [8,14,16]. For example, if the patient’s condition is poor, sufficient graft volume from a young donor with a short ischemic time rather than a small left liver graft is a better alternative [11,14,17].
Second, portal pressure is attenuated after accurate measurement of portal pressure during transplantation [14,16,17-20]. Several surgical procedures can reduce the portal pressure and alleviate potential SFSS. Remaining natural varices or creating transient portosystemic shunts can reduce portal hypertension during the early period of graft regeneration. However, portal steal syndrome can sometimes ruin sufficient inflow to the graft. Accurate measurement of portal pressure and flow via the inferior mesenteric vein or the direct portal puncture technique helps decide whether to proceed with these procedures [18]. After regeneration of a small graft, surgical or interventional shunt occlusion can be performed to improve the long-term graft outcomes and prevent variceal complications. An indirect method to reduce portal pressure is to reduce splenic venous inflow to the portal vein. Splenomegaly and splenic artery hypertrophy are common in patients with end-stage liver disease and portal hypertension. In that case, splenectomy, splenic artery ligation, or splenic devascularization can reduce portal pressure [9,16,21,22].
Third, we used the entire transplanted graft without ischemia or congestion, as possible [9,23,24]. To avoid ischemia of the small graft, the surgeon should reconstruct all the inflows. During hepatectomy and graft implantation, meticulous surgery is mandatory to prevent the use of inotropic agents. To avoid congestion of the small graft, drain all the outflow of the area >20% of the graft, segment 5 veins, segment 8 veins, and right inferior hepatic veins in the right graft, and segment 1 vein in the left graft with the caudate lobe. To improve outflow, the outlet of the hepatic vein should be sufficiently large to transfer the oscillation of the heartbeat. Additionally, physiological obstruction related to hemodynamic changes such as high right atrial pressure or central venous pressure should be properly managed during the reperfusion period.
Finally, dual graft implantation and auxiliary orthotopic partial liver transplantation (APOLT) or heterotopic auxiliary partial liver transplantation (HALT) with future native liver hepatectomy, the so-called resection and partial liver segment 2/3 transplantation with delayed total hepatectomy (RAPID), can be another option to avoid SFSS [24-32]. The APOLT technique was applied to chronic liver disease in the late 90s during ALDLT to avoid SFSS and to protect donor safety using a small graft for sufficient future remnant volume in Asian countries (Fig. 2). Recently, this technique has been applied to patients with colorectal liver-only metastasis without portal hypertension who do not receive an adequate volume of deceased donor graft but can get a split left lateral section.
Fig. 2.

Auxiliary partial orthotopic liver transplantation to prevent the small-for-size syndrome. A 36-yr-old patient with Wilson’s disease has undergone living-donor liver transplantation from a 54-yr-old mother using a right posterior section graft. The graft-versus-recipient weight ratio is 0.64%. He has undergone a native liver hepatectomy 11 mo after transplantation. (A) A preoperative recipient computed tomography (CT) scan. (B) A CT scan of postoperative day 9. (C) A CT scan of postoperative 11 mo.

emj-45-2-29-g2.jpg
2. Management after small for size syndrome development
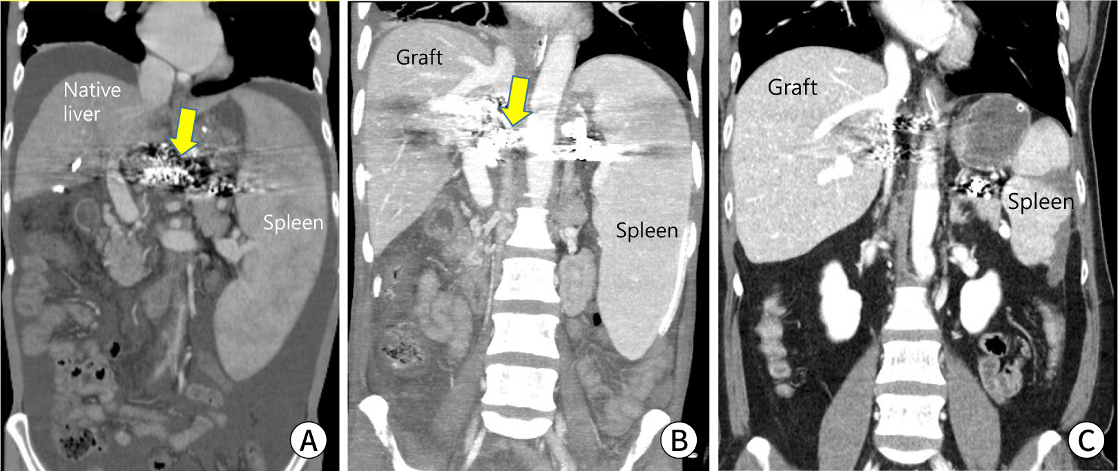
Regardless of these efforts during the operation, the SFSS can develop. Management goals include medical management of portal hypertension and graft support for acute liver failure. The medical reduction of portal pressure is similar to that of the pretransplant management of portal hypertension. Fluid balance and ascites control are basic concepts. Intervention radiology can play a role in splenic artery embolization by reducing portal pressure via flow reduction (Fig. 3).
Fig. 3.

Post-transplant splenic arterial embolization to reduce portal hypertension. A 40-yr-old woman with hepatitis B-related liver cirrhosis with the hepatorenal syndrome and uncontrolled ascites underwent living-donor liver transplantation from his 35-yr-old wife using a right liver graft. He underwent gastrorenal shunt occlusion before transplantation to control variceal bleeding and encephalopathy. One mo after transplantation, the patient underwent partial occlusion of the splenic artery because of uncontrolled ascites related to small-for-size syndrome (arrow, material for gastrorenal shunt occlusion). (A) A preoperative recipient computed tomography (CT) scan. (B) A CT scan of postoperative day 7. (C) A CT scan 2 yrs after transplantation.

emj-45-2-29-g3.jpg
The SFSS can be overcome after the early period of graft regeneration. If varices or shunt flow remains, we should wait for a minimum of 2 weeks (10-21 days after transplantation) for graft regeneration. Delayed closure would be helpful for the restoration of graft function. Delayed native liver hepatectomy in cases of APOLT (or HALT, RAPID) can be performed during this period [25-31].
SFSS can occur in any case when using a small partial graft. However, a better understanding of SFSS and the recent progress in perioperative management and surgical techniques can push the boundary of a small graft. Before permanent damage of a small graft, prevention and early detection of SFSS can save patients with only the alternative for a small graft.
  • 1. Chen CL, Fan ST, Lee SG, Makuuchi M, Tanaka K. Living-donor liver transplantation: 12 years of experience in Asia. Transplantation 2003;75:S6-S11.
  • 2. Hashikura Y, Makuuchi M, Kawasaki S, Matsunami H, Ikegami T, Nakazawa Y, et al. Successful living-related partial liver transplantation to an adult patient. Lancet 1994;343:1233-1234.
  • 3. Tanaka K, Uemoto S, Tokunaga Y, Fujita S, Sano K, Nishizawa T, et al. Surgical techniques and innovations in living related liver transplantation. Ann Surg 1993;217:82-91.
  • 4. Hong SK, Choe S, Yi NJ, Shin A, Choe EK, Yoon KC, et al. Long-term survival of 10,116 Korean live liver donors. Ann Surg 2021;274:375-382.
  • 5. Kiuchi T, Kasahara M, Uryuhara K, Inomata Y, Uemoto S, Asonuma K, et al. Impact of graft size mismatching on graft prognosis in liver transplantation from living donors. Transplantation 1999;67:321-327.
  • 6. Kiuchi T, Tanaka K, Ito T, Oike F, Ogura Y, Fujimoto Y, et al. Small-for-size graft in living donor liver transplantation: how far should we go? Liver Transpl 2003;9:S29-S35.
  • 7. Lo CM, Fan ST, Liu CL, Chan JK, Lam BK, Lau GK, et al. Minimum graft size for successful living donor liver transplantation. Transplantation 1999;68:1112-1116.
  • 8. Masuda Y, Yoshizawa K, Ohno Y, Mita A, Shimizu A, Soejima Y. Small-for-size syndrome in liver transplantation: definition, pathophysiology and management. Hepatobiliary Pancreat Dis Int 2020;19:334-341.
  • 9. Ben-Haim M, Emre S, Fishbein TM, Sheiner PA, Bodian CA, Kim-Schluger L, et al. Critical graft size in adult-to-adult living donor liver transplantation: impact of the recipient’s disease. Liver Transpl 2001;7:948-953.
  • 10. Dahm F, Georgiev P, Clavien PA. Small-for-size syndrome after partial liver transplantation: definition, mechanisms of disease and clinical implications. Am J Transplant 2005;5:2605-2610.
  • 11. Yi NJ, Suh KS, Cho YB, Lee HW, Cho EH, Cho JY, et al. The right small-for-size graft results in better outcomes than the left small-for-size graft in adult-to-adult living donor liver transplantation. World J Surg 2008;32:1722-1730.
  • 12. Emond JC, Renz JF, Ferrell LD, Rosenthal P, Lim RC, Roberts JP, et al. Functional analysis of grafts from living donors: implications for the treatment of older recipients. Ann Surg 1996;224:544-554.
  • 13. Demetris AJ, Kelly DM, Eghtesad B, Fontes P, Wallis Marsh J, Tom K, et al. Pathophysiologic observations and histopathologic recognition of the portal hyperperfusion or small-for-size syndrome. Am J Surg Pathol 2006;30:986-993.
  • 14. Yi NJ, Suh KS, Lee HW, Shin WY, Kim J, Kim W, et al. Improved outcome of adult recipients with a high model for end-stage liver disease score and a small-for-size graft. Liver Transpl 2009;15:496-503.
  • 15. Ma KW, Wong KHC, Chan ACY, Cheung TT, Dai WC, Fung JYY, et al. Impact of small-for-size liver grafts on medium-term and long-term graft survival in living donor liver transplantation: a meta-analysis. World J Gastroenterol 2019;25:5559-5568.
  • 16. Ikegami T, Balci D, Jung DH, Kim JM, Quintini C. Living donor liver transplantation in small-for-size setting. Int J Surg 2020;82:134-137.
  • 17. Chan SC, Fan ST, Lo CM, Liu CL. Effect of side and size of graft on surgical outcomes of adult-to-adult live donor liver transplantation. Liver Transpl 2007;13:91-98.
  • 18. Ito T, Kiuchi T, Yamamoto H, Oike F, Ogura Y, Fujimoto Y, et al. Changes in portal venous pressure in the early phase after living donor liver transplantation: pathogenesis and clinical implications. Transplantation 2003;75:1313-1317.
  • 19. Troisi R, Cammu G, Militerno G, De Baerdemaeker L, Decruyenaere J, Hoste E, et al. Modulation of portal graft inflow: a necessity in adult living-donor liver transplantation? Ann Surg 2003;237:429-436.
  • 20. Botha JF, Langnas AN, Campos BD, Grant WJ, Freise CE, Ascher NL, et al. Left lobe adult-to-adult living donor liver transplantation: small grafts and hemiportocaval shunts in the prevention of small-for-size syndrome. Liver Transpl 2010;16:649-657.
  • 21. Moon DB, Lee SG, Hwang S, Ahn CS, Kim KH, Ha TY, et al. Splenic devascularization can replace splenectomy during adult living donor liver transplantation: a historical cohort study. Transpl Int 2019;32:535-545.
  • 22. Ito K, Akamatsu N, Ichida A, Ito D, Kaneko J, Arita J, et al. Splenectomy is not indicated in living donor liver transplantation. Liver Transpl 2016;22:1526-1535.
  • 23. Yi NJ, Suh KS, Lee HW, Cho EH, Shin WY, Cho JY, et al. An artificial vascular graft is a useful interpositional material for drainage of the right anterior section in living donor liver transplantation. Liver Transpl 2007;13:1159-1167.
  • 24. Lee SG. A complete treatment of adult living donor liver transplantation: a review of surgical technique and current challenges to expand indication of patients. Am J Transplant 2015;15:17-38.
  • 25. Kasahara M, Kiuchi T, Uryuhara K, Takakura K, Egawa H, Asonuma K, et al. Auxiliary partial orthotopic liver transplantation as a rescue for small-for-size grafts harvested from living donors. Transpl Proc 1998;30:132-133.
  • 26. Kasahara M, Takada Y, Egawa H, Fujimoto Y, Ogura Y, Ogawa K, et al. Auxiliary partial orthotopic living donor liver transplantation: Kyoto University experience. Am J Transplant 2005;5:558-565.
  • 27. Lee SG, Hwang S, Park KM, Kim KH, Ahn CS, Lee YJ, et al. Seventeen adult-to-adult living donor liver transplantations using dual grafts. Transpl Proc 2001;33:3461-3463.
  • 28. Soejima Y, Taketomi A, Ikegami T, Yoshizumi T, Uchiyama H, Yamashita Y, et al. Living donor liver transplantation using dual grafts from two donors: a feasible option to overcome small-for-size graft problems? Am J Transplant 2008;8:887-892.
  • 29. Konigsrainer A, Templin S, Capobianco I, Konigsrainer I, Bitzer M, Zender L, et al. Paradigm shift in the management of irresectable colorectal liver metastases: living donor auxiliary partial orthotopic liver transplantation in combination with two-stage hepatectomy (LD-RAPID). Ann Surg 2019;270:327-332.
  • 30. Lim C, Turco C, Balci D, Savier E, Goumard C, Perdigao F, et al. Auxiliary liver transplantation for cirrhosis: from APOLT to RAPID: a scoping review. Ann Surg 2022;275:551-559.
  • 31. Ravaioli M, Brandi G, Siniscalchi A, Renzulli M, Bonatti C, Fallani G, et al. Heterotopic segmental liver transplantation on splenic vessels after splenectomy with delayed native hepatectomy alter graft regeneration: a new technique to enhance liver transplantation. Am J Transplant 2021;21:870-875.
  • 32. Cho JY, Suh KS, Kwon CH, Yi NJ, Kim MA, Jang JJ, et al. Auxiliary partial orthotopic living donor liver transplantation in a patient with alcoholic liver cirrhosis to overcome donor steatosis. Transpl Int 2006;19:424-429.

Figure & Data

References

    Citations

    Citations to this article as recorded by  

      Download Citation

      Download a citation file in RIS format that can be imported by all major citation management software, including EndNote, ProCite, RefWorks, and Reference Manager.

      Format:

      Include:

      Prevention and Management of Small-for-Size Syndrome of Liver Transplantation
      Ewha Med J. 2022;45(2):29-34.   Published online April 30, 2022
      Download Citation
      Download a citation file in RIS format that can be imported by all major citation management software, including EndNote, ProCite, RefWorks, and Reference Manager.

      Format:
      • RIS — For EndNote, ProCite, RefWorks, and most other reference management software
      • BibTeX — For JabRef, BibDesk, and other BibTeX-specific software
      Include:
      • Citation for the content below
      Prevention and Management of Small-for-Size Syndrome of Liver Transplantation
      Ewha Med J. 2022;45(2):29-34.   Published online April 30, 2022
      Close

      Figure

      • 0
      • 1
      • 2
      Prevention and Management of Small-for-Size Syndrome of Liver Transplantation
      Image Image Image
      Fig. 1. A small partial graft during adult-to-adult living donor liver transplantation. The patient has undergone a small right liver graft with a 0.7% graft-versus-recipient weight ratio.
      Fig. 2. Auxiliary partial orthotopic liver transplantation to prevent the small-for-size syndrome. A 36-yr-old patient with Wilson’s disease has undergone living-donor liver transplantation from a 54-yr-old mother using a right posterior section graft. The graft-versus-recipient weight ratio is 0.64%. He has undergone a native liver hepatectomy 11 mo after transplantation. (A) A preoperative recipient computed tomography (CT) scan. (B) A CT scan of postoperative day 9. (C) A CT scan of postoperative 11 mo.
      Fig. 3. Post-transplant splenic arterial embolization to reduce portal hypertension. A 40-yr-old woman with hepatitis B-related liver cirrhosis with the hepatorenal syndrome and uncontrolled ascites underwent living-donor liver transplantation from his 35-yr-old wife using a right liver graft. He underwent gastrorenal shunt occlusion before transplantation to control variceal bleeding and encephalopathy. One mo after transplantation, the patient underwent partial occlusion of the splenic artery because of uncontrolled ascites related to small-for-size syndrome (arrow, material for gastrorenal shunt occlusion). (A) A preoperative recipient computed tomography (CT) scan. (B) A CT scan of postoperative day 7. (C) A CT scan 2 yrs after transplantation.
      Prevention and Management of Small-for-Size Syndrome of Liver Transplantation

      The outcomes of liver transplantations using a SFSG

      Year of study Study Country Definition Number of SFSG group Number of control group Incidence of SFSS (%) Short-term mortality in SFSG Long-term mortality (OR, 90% CI)
      2008 Yi Korea <0.8% GRWR 29 - - 0% in Right 33% in Left -
      2008 Ikegami Japan <35% GV/SLV 33 87 0 12.5% (1 yr) 3.25 (1.29-8.18)
      2009 Selzner Canada <0.8% GRWR 22 249 9 4.5% (30 days) 0.82 (0.27-2.60)
      2010 Moon Korea <0.8% GRWR 35 392 5.7 - 1.33 (0.60-2.95)
      2014 Lee Korea <0.8% GRWR 50 267 8 2% (1 yr) 1.61 (0.72-3.63)*
      2015 Au HongKong <35% GV/SLV 21 212 - - 1.61 (0.51-5.15)
      2015 Liu China <0.8% GRWR 65 181 11 7.7% (30 days) 1.23 (0.65-2.34)
      2016 Ikegami Japan <35% GV/SLV 88 119 11.4 - 0.69 (0.28-1.72)

      SFSG, small for size graft; SFSS, small for size syndrome; OR, odds ratio; CI, confidence interval; GRWR, graft-versus-recipient weight ratio; GV, graft volume; SLV, standard liver volume.

      *3-yr follow up.

      Table 1. The outcomes of liver transplantations using a SFSG

      SFSG, small for size graft; SFSS, small for size syndrome; OR, odds ratio; CI, confidence interval; GRWR, graft-versus-recipient weight ratio; GV, graft volume; SLV, standard liver volume.

      3-yr follow up.

      TOP