• Contact us
  • E-Submission
ABOUT
BROWSE ARTICLES
JOURNAL POLICIES
FOR CONTRIBUTORS

Articles

Page Path

Case Report

A Case of Pulmonary Artery Endarteritis due to Staphylococcus lugdunensis in Patient with Clinically Silent Patent Ductus Arteriosus

2011;34(2):51-54. Published online: September 30, 2011

Department of Internal Medicine, Konyang University College of Medicine, Daejeon, Korea.

1Department of Internal Medicine, Hallym University College of Medicine, Anyang, Korea.

Corresponding author (jalee@hallym.ac.kr)

Copyright © 2011. Ewha Womans University School of Medicine

This is an Open Access article distributed under the terms of the Creative Commons Attribution Non-Commercial License (http://creativecommons.org/licenses/by-nc/3.0/) which permits unrestricted non-commercial use, distribution, and reproduction in any medium, provided the original work is properly cited.

  • 543 Views
  • 0 Download
prev next
  • Staphylococcus lugdunensis (S. lugdunensis) is an unusually virulent coagulase-negative staphylococci (CNS) and uncommon cause of infective endocarditis (IE) involving mainly native left sided valves. S. lugdunensis IE, which was described previously as "surreptitious" and "wolf in sheep's clothing", runs an aggressive course with a high rate of severe in-hospital complications. Therefore, early surgical treatment has been considered for the treatment of S. lugdunensis IE. However, we experienced a case of S. lugdunensis pulmonary endarteritis which was cured with antibiotic therapy alone.
  • 1. von Eiff C, Peters G, Heilmann C. Pathogenesis of infections due to coagulase-negative staphylococci. Lancet Infect Dis 2002;2:677-685.
  • 2. Van Hoovels L, De Munter P, Colaert J, Surmont I, Van Wijngaerden E, Peetermans WE, et al. Three cases of destructive native valve endocarditis caused by Staphylococcus lugdunensis. Eur J Clin Microbiol Infect Dis 2005;24:149-152.
  • 3. Anguera I, Del Río A, Miró JM, Matínez-Lacasa X, Marco F, Gumá JR, et al. Staphylococcus lugdunensis infective endocarditis: description of 10 cases and analysis of native valve, prosthetic valve, and pacemaker lead endocarditis clinical profiles. Heart 2005;91:e10.
  • 4. Seenivasan MH, Yu VL. Staphylococcus lugdunensis endocarditis-the hidden peril of coagulase-negative staphylococcus in blood cultures. Eur J Clin Microbiol Infect Dis 2003;22:489-491.
  • 5. Thilen U, Astrom-Olsson K. Does the risk of infective endarteritis justify routine patent ductus arteriosus closure? Eur Heart J 1997;18:503-506.
  • 6. Choi KN, Yang TH, Park BS, Jun HJ, Um SJ, Seol SH, et al. Case with patent ductus arteriosus complicated by pulmonary artery endarteritis. J Cardiovasc Ultrasound 2008;16:90-92.
  • 7. Choi SH, Park HG, Byun SW, Koo DH, Kang HS, Jang HJ, et al. A case of infective endocarditis due to Staphylococcus lugdunensis. Infect Chemother 2006;38:277-281.
  • 8. Cho HJ, Seol SH, Park SY, Jun HS, Kim DK, Kim DI, et al. A case of native valve infective endocarditis caused by Staphylococcus lugdunensis. Korean J Med 2011;80:212-215.
  • 9. Ha YE, Rye SY, Ko KS, Joo EJ, Park SY, Kim HA, et al. Native valve infective endocarditis due to Staphylococcus lugdunensis confirmed by 16S ribosomal RNA Sequencing. Infect Chemother 2011;43:372-376.
  • 10. Frank KL, Del Pozo JL, Patel R. From clinical microbiology to infection pathogenesis: how daring to be different works for Staphylococcus lugdunensis. Clin Microbiol Rev 2008;21:111-133.
  • 11. Ozkokeli M, Ates M, Uslu N, Akcar M. Pulmonary and aortic valve endocarditis in an adult patient with silent patent ductus arteriosus. Jpn Heart J 2004;45:1057-1061.
  • 12. Sadiq M, Latif F, Ur-Rehman A. Analysis of infective endarteritis in patent ductus arteriosus. Am J Cardiol 2004;93:513-515.
  • 13. Bain RC, Edwards JE, Scheifley CH, Geraci CE. Right sided bacterial endocarditis and endarteritis, clinical and pathological study. Am J Med 1958;24:98-110.
  • 14. Schneider DJ, Moore JW. Patent ductus arteriosus. Circulation 2006;114:1873-1882.
  • 15. Balzer DT, Spray TL, McMullin D, Cottingham W, Canter CE. Endarteritis associated with a clinically silent patent ductus arteriosus. Am Heart J 1993;125:1192-1193.
  • 16. Radman FB, Beanlands DS, Burwash IG. Isolated pulmonic valve endocarditis in healthy hearts: a case report and review of the literature. Can J Cardiol 2000;16:1282-1289.
Fig. 1
Transthorasic echocardiography finding. Patent ductus arteriosus communicated with descending aorta and Lt. pulmonary artery is noted.
emj-34-51-g001.jpg
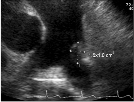
Fig. 2
Transthorasic echocardiography finding. A 1.5×1.0 cm sized vegetation at left pulmonary artery is seen.
emj-34-51-g002.jpg
Fig. 3
Chest CT finding. Chest CT on hospital day 3 shows embolism in left pulmonary artery.
emj-34-51-g003.jpg
Fig. 4
Chest CT finding. One month later, embolism in left pulmonary artery is disappeared.
emj-34-51-g004.jpg

Figure & Data

References

    Citations

    Citations to this article as recorded by  

      Download Citation

      Download a citation file in RIS format that can be imported by all major citation management software, including EndNote, ProCite, RefWorks, and Reference Manager.

      Format:

      Include:

      A Case of Pulmonary Artery Endarteritis due to Staphylococcus lugdunensis in Patient with Clinically Silent Patent Ductus Arteriosus
      Ewha Med J. 2011;34(2):51-54.   Published online September 30, 2011
      Download Citation
      Download a citation file in RIS format that can be imported by all major citation management software, including EndNote, ProCite, RefWorks, and Reference Manager.

      Format:
      • RIS — For EndNote, ProCite, RefWorks, and most other reference management software
      • BibTeX — For JabRef, BibDesk, and other BibTeX-specific software
      Include:
      • Citation for the content below
      A Case of Pulmonary Artery Endarteritis due to Staphylococcus lugdunensis in Patient with Clinically Silent Patent Ductus Arteriosus
      Ewha Med J. 2011;34(2):51-54.   Published online September 30, 2011
      Close

      Figure

      • 0
      • 1
      • 2
      • 3
      A Case of Pulmonary Artery Endarteritis due to Staphylococcus lugdunensis in Patient with Clinically Silent Patent Ductus Arteriosus
      Image Image Image Image
      Fig. 1 Transthorasic echocardiography finding. Patent ductus arteriosus communicated with descending aorta and Lt. pulmonary artery is noted.
      Fig. 2 Transthorasic echocardiography finding. A 1.5×1.0 cm sized vegetation at left pulmonary artery is seen.
      Fig. 3 Chest CT finding. Chest CT on hospital day 3 shows embolism in left pulmonary artery.
      Fig. 4 Chest CT finding. One month later, embolism in left pulmonary artery is disappeared.
      A Case of Pulmonary Artery Endarteritis due to Staphylococcus lugdunensis in Patient with Clinically Silent Patent Ductus Arteriosus
      TOP