• Contact us
  • E-Submission
ABOUT
BROWSE ARTICLES
JOURNAL POLICIES
FOR CONTRIBUTORS

Articles

Page Path

Case Report

Antiphospholipid Syndrome Presenting Variceal Bleeding in Patient with Systemic Anaerobic Bacterial Infection

2013;36(2):149-152. Published online: September 26, 2013

Department of Internal Medicine, Ewha Womans University School of Medicine, Seoul, Korea.

Corresponding author: Hye-Kyung Jung. Department of Internal Medicine, Ewha Womans University School of Medicine, 1071 Anyangcheon-ro, Yangcheon-gu, Seoul 158-710, Korea. Tel: 82-2-2650-2874, Fax: 82-2-2655-2874, junghk@ewha.ac.kr
• Received: May 24, 2013   • Accepted: July 12, 2013

Copyright © 2013. Ewha Womans University School of Medicine

This is an Open Access article distributed under the terms of the Creative Commons Attribution Non-Commercial License (http://creativecommons.org/licenses/by-nc/3.0/) which permits unrestricted non-commercial use, distribution, and reproduction in any medium, provided the original work is properly cited.

  • 708 Views
  • 0 Download
prev next
  • Antiphospholipid antibody syndrome (APS) is characterized by raised levels of antiphospholipid antibodies (aPL), in association with thrombosis, recurrent fetal loss, and thrombocytopenia. Development of APS is related with idiopathic origin, autoimmune disease, malignancy and, on rare occasions, infection. However, in secondary APS combined with bacterial infections, aPL is usually shown with low titer and rarely associated with thrombotic events. A 52-year-old male was admitted due to pneumonia and multiple hepatosplenic abscesses. He had been treated with proper antibiotics, but he presented ascites and sudden variceal bleeding because of portal vein thrombosis. The bleeding was controlled by endoscopic variceal ligation. Acute portal vein thrombosis was successfully managed by low molecular weight heparin and hepatosplenic abscesses were completely resolved by antibiotics. This case suggests that systemic bacterial infection in immunocompetent patients possibly develops into secondary APS.
The most common cause of portal hypertension is liver cirrhosis and other common causes are portal vein obstruction, idiopathies or it may associate with infection, pancreatitis or abdominal trauma. Also hematological malignancies and other hypercoagulable states are rarely related with portal vein thrombosis and portal hypertension. Antiphospholipid syndrome (APS) is a clinical syndrome consists of the presence of antiphospholipid antibodies (aPL) and a status of hypercoagulability [1,2]. Intravascular thrombosis can arise in vessels of any size in any organ. APS may be divided into several categories. Primary APS occurs in patients without clinical evidence of another disease, whereas secondary APS occurs in association with autoimmune disease, infection, cancer and the use of drugs or hemodialysis [1].
We report a case of secondary APS related with systemic bacterial infection that complicated fundal variceal bleeding and ascites as a consequence of acute portal vein thrombosis.
A 52-year-old man was admitted to our hospital because of chills, sweating and weight loss of 10 kg in one month. He complained of coughing and purulent sputum. He had no medical or family history of diabetes, liver diseases. He was a 20-pack-year current smoker and social drinker. He was a cook in a Chinese restaurant. At admission, his blood pressure was 130/70 mmHg, pulse rate was 108/min, body temperature was 37.3℃, respiratory rate was 22/min. His sclera was icteric and conjunctiva was anemic. Breathing sound was coarse and decreased on both lower lung fields and moist rales were heard on the left lower lung field. The abdomen was soft and slightly distended, and the liver and spleen were not palpable. The laboratory data on the admission were as follows: hemoglobin 10.1 g/dL, platelet 304,000/mm3, white blood cell count 36,300/mm3 (neutrophils 76%), ESR 120 mm/hr, CRP 18.72 mg/dL, BUN 12.3 mg/dL, creatinine 0.6 mg/dL, AST 32 IU/L, AST 17 IU/L, ALP 781 IU/dL, total protein 7.7 g/dL, albumin 1.5 g/dL, total billirubin 2.8 mg/dL, direct billirubin 2.1 mg/dL, fasting glucose 105 mg/dL, negative of venereal disease research laboratory (VDRL), negative of anti-HIV antibody, negative of HBs Ag, anti HBs and anti HCV. For evaluation of albumin:globulin (A/G) reverse, urine and serum electrophoresis (EP) was performed. There was no significant finding on urine EP. Serum EP revealed polyclonal gammopathy mixed with M-peak in gamma region, but subsequent laboratory examination showed negative serum cryoglobulin.
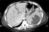
A simple X-ray showed collapsed consolidation on the left lower lung field and a air fluid level within a cavitary lesion on the left upper quadrant of the abdomen (Fig. 1). The CT revealed a large splenic abscess, multiple liver abscesses, bronchopneumonia in left lung with left pleural effusion (Fig. 2). Empiric antibiotics therapy with levofloxacin, amikacin sulfate and metronidazole was started, but the fever did not subside. Modification of antibiotics was applied to third generation cephalosporine and metronidazole. On the 8th day of admission, melena was suddenly developed. Emergency endoscopy showed isolated fundal varices in stomach with surface erosion and hematocyst (Fig. 3). Variceal bleeding was successfully controlled by endoscopic variceal band ligation. Aspirate of splenic abscess had chocolate color, foul odor and cultivated anaerobic bacteria, Eubacterium limosum. Abdomen ultrasonography revealed intrahepatic portal vein thrombosis and massive ascites with multifocal hypoechoic hepatosplenic abscesses (Fig. 4). In order to investigate the cause of the portal vein thrombosis, detailed coagulation profiles were evaluated. Anti-cardiolipin antibody IgG was 28.1 GPL (normal <20 GPL) and antineutrophil cytoplasmic antibody was positive. Prothrombin time and activated partial prothrombin time were normal, fibrinogen was 897 mg/dL (normal 170~440 mg/dL), FDP was 20 µg/mL and D-dimer was positive. Antithrombin III, lupus anticoagulant, antigenic protein C and antigenic free protein S were all negative. After bleeding stigma disappeared on second endoscopy, low molecular weight heparin (LMWH) was started for management of acute portal vein thrombosis. Since then, he had been treated with oral antibiotics for 3 months and LMWH daily subcutaneous injection for 6 months. Even after the portal vein thrombosis and abscesses were completely resolved, IgG anti-cardiolipin antibody was still elevated by 26.8 GPL. He has been regularly followed in out-patient clinic with continuous ingestion of oral anticoagulants.
The aPL, namely, the lupus anticoagulant or anticardiolipin antibodies, are the focus of considerable interest because of their importance in the pathogenesis of clotting in the APS, a condition present not only in the autoimmune diseases, particularly systemic lupus erythematosus, but also in patients who do not manifest any overt symptoms of autoimmune disease where the emphasis is primarily on vascular events [1].
Many authors had reported raised levels of aPL in a variety infectious diseases [3-5]. Syphilis was the first infection to be linked to the aPL in 1983. And many other infections have been found to be associated with aPL positivity, but pathogenic role is not clear. HCV infection is usually not detected in patients with APS [3], but, low levels of aPL may be found in patients with HCV infection and, rarely evoke thrombotic events [4,6]. The pathogenesis of thrombotic complications in HIV infected patients and patients with AIDS is multifactorial, with the aPL playing a role in selected patients only [5,7]. Lipid disturbances consequent on antiretroviral treatment in AIDS may be prime causes of these complications. Other viral infections, including Epstein-Barr virus, varicella, cytomegalovirus, rubella virus were reported [2,8]. However, in these cases, propensity for IgM-aPL is usually shown with low titer and presence of aPL is often transient and disappears after the treatment of the infection [1,8]. Many bacterial infections demonstrate aPL. However, these increases in aPL are usually not associated with thrombotic events. Microvascular thromboses in the absence of vascular wall inflammation is a rare manifestation of leprosy, and this type of leprosy was associated with aPL [5]. aPL may also be associated with Mycoplasma pneumoniae, bacterial endocarditis and Salmonella infections were reported, but there has been some controversy about overt clinical manifestations [5].
Recently, the infectious origin of APS was proven to be one of the explanations for the generation of anti-beta-2-glycoprotien I (β2GPI) antibodies by sharing molecular mimicry with common bacteria [2,8-11]. The human β2GPI molecule, a plasma protein, has anticoagulant properties in vitro which are inhibition of prothrombinase activity, ADP-induced platelet aggregation, and platelet factor IX production [8]. The high titers of mouse anti-β2GPI were associated with an increased percentage of fetal resorptions (the equivalent of fetal loss in human APS), thrombocytopenia and prolonged activated partial thromboplastin time (aPTT), indicating the lupus anticoagulant, a presentation characterized as experimental APS [12]. Experimental APS could be induced by antibodies targeting peptides that share common epitopes with bacteria, viruses or tetanus toxoid, and the β2GPI molecule.
Most previous reports showed a high prevalence of arterial thrombosis, while portal vein thrombosis in APS has been less commonly reported and these cases were not combined infections, unlike the present case [13]. Portal vein thrombosis can occur in intra-abdominal infections, as pancreatitis, cholangitis, portal vein phlebitis and intra-abdominal abscess. In previous reports, Bacteroides bacteremia in patients with pylephlebitis suggests that the thrombogenic nature of the organism plays an integral role in the pathogenesis of septic thrombophlebitis [14]. Bacteroides species produce heparinase which may injure normal endotherial tissue in gastrointestinal organs [15]. And the lipopolysaccharide isolated from Bacteroides species accelerated coagulation in mice and activated Hageman factor [16]. These activations can play a role in promoting intravascular thrombosis. There is no proven data, in APS, that anaerobic bacteria trigger thrombosis. But there is a case report that showed portal vein thrombosis with anaerobe Bacteroides induced pyelophlebitis and transient elevation of IgM aPL [17].
Our case is unique because anaerobe induced intra-abdominal abscess complicated overt APS that IgG aPL was detected and sustained after treatment and produced portal vein thrombosis and complicated variceal bleeding and massive ascites. We used low molecular heparin instead of oral anticoagulants for resolving portal vein thrombosis in order to avoid drug interaction between warfarin and metronidazole. However, in case of secondary APS associated with infection, intensity of anticoagulation and the timing of its discontinuation are still unclear. Although the infection was controlled and portal vein thrombosis disappeared, careful monitoring will be required due to recurrence.
  • 1. Levine JS, Branch W, Rauch J. The antiphospholipid syndrome. N Engl J Med 2002;346:752-763.
  • 2. Harel M, Aron-Maor A, Sherer Y, Blank M, Shoenfeld Y. The infectious etiology of the antiphospholipid syndrome:links between infection and autoimmunity. Immunobiology 2005;210:743-747.
  • 3. Sthoeger ZM, Fogel M, Smirov A, Ergas D, Lurie Y, Bass DD, et al. Anticardiolipin autoantibodies in serum samples and cryoglobulins of patients with chronic hepatitis C infection. Ann Rheum Dis 2000;59:483-486.
  • 4. Baid S, Pascual M, Williams WW Jr, Tolkoff-Rubin N, Johnson SM, Collins B, et al. Renal thrombotic microangiopathy associated with anticardiolipin antibodies in hepatitis C-positive renal allograft recipients. J Am Soc Nephrol 1999;10:146-153.
  • 5. Bloom EJ, Abrams DI, Rodgers G. Lupus anticoagulant in the acquired immunodeficiency syndrome. JAMA 1986;256:491-493.
  • 6. Himoto T, Yoneyama H, Kurokohchi K, Mori H, Inukai M, Masugata H, et al. Clinical relevance of antibodies to cardiolipin in patients with chronic hepatitis C. J Clin Lab Anal 2012;26:342-348.
  • 7. Kiser KL, Badowski ME. Risk factors for venous thromboembolism in patients with human immunodeficiency virus infection. Pharmacotherapy 2010;30:1292-1302.
  • 8. Blank M, Asherson RA, Cervera R, Shoenfeld Y. Antiphospholipid syndrome infectious origin. J Clin Immunol 2004;24:12-23.
  • 9. Blank M, Krause I, Fridkin M, Keller N, Kopolovic J, Goldberg I, et al. Bacterial induction of autoantibodies to beta2-glycoprotein-I accounts for the infectious etiology of antiphospholipid syndrome. J Clin Invest 2002;109:797-804.
  • 10. Martin E, Winn R, Nugent K. Catastrophic antiphospholipid syndrome in a community-acquired methicillin-resistant Staphylococcus aureus infection: A review of pathogenesis with a case for molecular mimicry. Autoimmun Rev 2011;10:181-188.
  • 11. Blank M, Shoenfeld Y. Beta-2-glycoprotein-I, infections, antiphospholipid syndrome and therapeutic considerations. Clin Immunol 2004;112:190-199.
  • 12. Gropp K, Weber N, Reuter M, Micklisch S, Kopka I, Hallström T, et al. 2-glycoprotein I, the major target in antiphospholipid syndrome, is a special human complement regulator. Blood 2011;118:2774-2783.
  • 13. Hirohata Y, Murata A, Abe S, Otsuki M. Portal vein thrombosis associated with antiphospholipid syndrome. J Gastroenterol 2001;36:574-578.
  • 14. Plemmons RM, Dooley DP, Longfield RN. Septic thrombophlebitis of the portal vein (pylephlebitis): diagnosis and management in the modern era. Clin Infect Dis 1995;21:1114-1120.
  • 15. Bjornson HS, Hill EO. Bacteroidaceae in thromboembolic disease: effects of cell wall components on blood coagulation in vivo and in vitro. Infect Immun 1973;8:911-918.
  • 16. Bjornson HS. Activation of Hageman factor by lipopolysaccharides of Bacteroides fragilis, Bacteroides vulgatus, and Fusobacterium mortiferum. Rev Infect Dis 1984;6:Suppl 1. S30-S33.
  • 17. Liappis AP, Roberts AD, Schwartz AM, Simon GL. Thrombosis and infection: a case of transient anti-cardiolipin antibody associated with pylephlebitis. Am J Med Sci 2003;325:365-368.
Fig. 1
Chest radiography showing collapse with consolidation on left lower lung field and air fluid level on left upper quadrant of abdomen.
emj-36-149-g001.jpg
Fig. 2
Computed tomography of the abdomen demonstrating a large splenic abscess with multiple liver abscesses.
emj-36-149-g002.jpg
Fig. 3
(A) Endoscopy showing tortuous gastric fundal varix with hematocyst. (B) Endoscopic variceal ligation controlling the bleeding.
emj-36-149-g003.jpg
Fig. 4
Abdomen ultrasound showing multifocal hypoechoic liver abscesses with intrahepatic portal vein thrombosis and ascites.
emj-36-149-g004.jpg

Figure & Data

References

    Citations

    Citations to this article as recorded by  

      Download Citation

      Download a citation file in RIS format that can be imported by all major citation management software, including EndNote, ProCite, RefWorks, and Reference Manager.

      Format:

      Include:

      Antiphospholipid Syndrome Presenting Variceal Bleeding in Patient with Systemic Anaerobic Bacterial Infection
      Ewha Med J. 2013;36(2):149-152.   Published online September 26, 2013
      Download Citation
      Download a citation file in RIS format that can be imported by all major citation management software, including EndNote, ProCite, RefWorks, and Reference Manager.

      Format:
      • RIS — For EndNote, ProCite, RefWorks, and most other reference management software
      • BibTeX — For JabRef, BibDesk, and other BibTeX-specific software
      Include:
      • Citation for the content below
      Antiphospholipid Syndrome Presenting Variceal Bleeding in Patient with Systemic Anaerobic Bacterial Infection
      Ewha Med J. 2013;36(2):149-152.   Published online September 26, 2013
      Close

      Figure

      • 0
      • 1
      • 2
      • 3
      Antiphospholipid Syndrome Presenting Variceal Bleeding in Patient with Systemic Anaerobic Bacterial Infection
      Image Image Image Image
      Fig. 1 Chest radiography showing collapse with consolidation on left lower lung field and air fluid level on left upper quadrant of abdomen.
      Fig. 2 Computed tomography of the abdomen demonstrating a large splenic abscess with multiple liver abscesses.
      Fig. 3 (A) Endoscopy showing tortuous gastric fundal varix with hematocyst. (B) Endoscopic variceal ligation controlling the bleeding.
      Fig. 4 Abdomen ultrasound showing multifocal hypoechoic liver abscesses with intrahepatic portal vein thrombosis and ascites.
      Antiphospholipid Syndrome Presenting Variceal Bleeding in Patient with Systemic Anaerobic Bacterial Infection
      TOP