• Contact us
  • E-Submission
ABOUT
BROWSE ARTICLES
JOURNAL POLICIES
FOR CONTRIBUTORS

Articles

Page Path

Case Report

Portal and Splenic Vein Thrombosis Successfully Treated with Anticoagulants in Acute Pancreatitis

2014;37(2):116-120. Published online: September 30, 2014

Department of Internal Medicine, Seoul Red Cross Hospital, Seoul, Korea.

Corresponding author: Jung Hoon Song. Department of Internal Medicine, Seoul Red Cross Hospital, 9 Saemunan-ro, Jongno-gu, Seoul 110-747, Korea. Tel: 82-2-2002-8342, Fax: 82-2-2002-8347, love1226@hanmail.net
• Received: February 6, 2014   • Accepted: February 20, 2014

Copyright © 2014. Ewha Womans University School of Medicine

This is an Open Access article distributed under the terms of the Creative Commons Attribution Non-Commercial License (http://creativecommons.org/licenses/by-nc/3.0/) which permits unrestricted non-commercial use, distribution, and reproduction in any medium, provided the original work is properly cited.

  • 1,881 Views
  • 16 Download
  • 1 Crossref
prev next
  • Splanchnic vein thrombosis arising from complications of acute pancreatitis is very rare. It usually occurs as a form of portal, splenic and superior mesenteric vein thrombosis, either in combination or separately. It could develop portal hypertension, bowel ischemia and gastrointestinal variceal bleeding. Treatment of splanchnic vein thrombosis includes anticoagulants, thrombolysis, insertion of shunts, bypass surgery and liver transplantation. In some cases, anticoagulation therapy may be considered to prevent complications. However, the standard protocol for anticoagulation in splanchnic vein thrombosis has not been determined yet. We report a case of 43-year-old man who had portal and splenic vein thrombosis in acute pancreatitis. The patient was successfully treated with oral anticoagulants following low molecular weight heparin therapy.
  • 1. Mallick I, Winslect M. Vascular complications of pancreatitis. JOP 2004;5:328-337.
  • 2. Gonzelez HJ, Sahay SJ, Samadi B, Davidson BR, Rahman SH. Splanchnic vein thrombosis in severe acute pancreatitis: a 2-year, single-institution experience. HPB (Oxford) 2011;13:860-864.
  • 3. Bang SM. Management of venous thrombosis in atypical location. Korean J Med 2014;86:20-25.
  • 4. Chung KY. Portal vein thrombosis. Korean J Vasc Endovasc Surg 2011;27:97-102.
  • 5. Kim HS, Hong SH, Park HS, Lee ES, Kang IW. Hepatic infarction complicating acute pancreatitis: a case report. J Korean Radiol Soc 2000;43:73-76.
  • 6. Kim WS, Lee JW, Lee ES, Yang MH, Park SW, Kim SY, et al. A case of isolated superior mesenteric vein thrombosis in acute pancreatitis. Korean J Gastroenterol 2002;40:68-71.
  • 7. Chai JY, Yun SI, Bae SS, Chae HB, Park SM, Youn SJ, et al. A case of jejunal infarction and perforation due to acute pancreatitis. Korean J Gastroenterol 2004;43:120-124.
  • 8. Ko H, Jung SH, Yoon SJ, Kim AN, John BM, Choi GY, et al. Portal vein thrombosis that successfully treated with low molecular weight heparin in acute pancreatitis. Korean J Med 2005;69:541-544.
  • 9. Cheun JY, Lee TH, Kim YS, Lim DS, Kim SM, Im EH, et al. Portal and splenic vein thrombosis successfully treated with low molecular weight heparin in acute pancreatitis. Korean J Med 2008;74:S37-S41.
  • 10. Song HS, Yang NR, Jin SH, Choi KD, Jang YT. Isolated splenic vein thrombosis associated with acute pancreatitis. Korean J Pediatr Gastroenterol Nutr 2009;12:221-225.
  • 11. Na BS, John BM, Kim KB, Lee JS, Jo HW, Seock CH, et al. Spontaneous dissolution of isolated superior mesenteric vein thrombosis in acute pancreatitis. Korean J Gastroenterol 2011;57:38-41.
  • 12. Kim JH, Lee DG, Park SB, Lee HJ, Kim HJ, Lee SH, et al. A case of portal vein thrombosis in acute necrotizing pancreatitis treated with low-molecular-weight heparin. Korean J Med 2013;84:76-80.
  • 13. Sobhonslidsuk A, Reddy KR. Portal vein thrombosis: a concise review. Am J Gastroenterol 2002;97:535-541.
  • 14. Heider TR, Azeem S, Galanko JA, Behrns KE. The natural history of pancreatitis-induced splenic vein thrombosis. Ann Surg 2004;239:876-880.
  • 15. Riva N, Ageno W, Schulman S, Bang SM, Sartori MT, Grandone E, et al. In : Reitsma P, Rosendaal F, Levi M. Antithrombotic threatment of splanchnic vein thrombosis in the ISTH international registry: results of 6-month follow-up In: XXIV Congress of the International Society on Thrombosis and Haemostasis and 59th Annual SSC Meeting; Amsterdam, Wiley-Blackwell. 2013;pp 104.
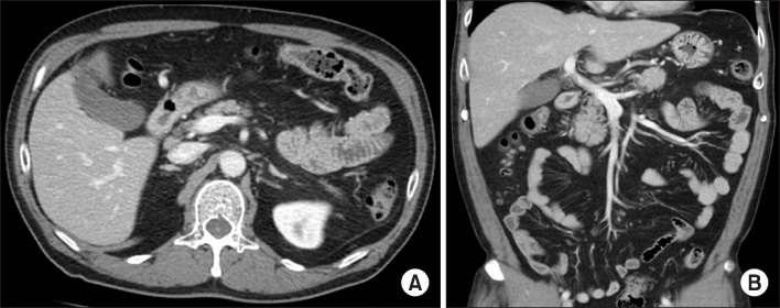
Fig. 1
Computed tomography (CT) findings on admission. (A) Axial CT image shows necrotic changes in the pancreatic tail, fluid collections in the peripancreatic space (arrowheads) and portal vein thrombosis (arrow). (B) Coronal CT image shows portal vein thrombosis extension to splenic vein (arrow).
emj-37-116-g001.jpg
Fig. 2
Follow-up computed tomography (CT) findings 7 days later. (A) Axial CT shows no improvement of acute pancreatitis (arrowheads) and the new appearance of left portal vein thrombosis (arrow). (B) Coronal CT shows the new appearance of left portal vein thrombosis (arrow).
emj-37-116-g002.jpg
Fig. 3
Follow-up computed tomography (CT) findings 3 months later after anticoagulation. (A, B) CT findings show complete dissolution of portal and splenic vein thrombosis and great improvement of acute pancreatitis.
emj-37-116-g003.jpg
Table 1
Summary of the reported cases of venous thrombosis in acute pancreatitis in Korea

PV, portal vein; SMV, superior mesenteric vein; SV, splenic vein; LMWH, low molecular weight heparin.

emj-37-116-i001.jpg

Figure & Data

References

    Citations

    Citations to this article as recorded by  
    • Current practice of anticoagulant in the treatment of splanchnic vein thrombosis secondary to acute pancreatitis
      William Norton, Gabija Lazaraviciute, George Ramsay, Irene Kreis, Irfan Ahmed, Mohamed Bekheit
      Hepatobiliary & Pancreatic Diseases International.2020; 19(2): 116.     CrossRef

    Download Citation

    Download a citation file in RIS format that can be imported by all major citation management software, including EndNote, ProCite, RefWorks, and Reference Manager.

    Format:

    Include:

    Portal and Splenic Vein Thrombosis Successfully Treated with Anticoagulants in Acute Pancreatitis
    Ewha Med J. 2014;37(2):116-120.   Published online September 30, 2014
    Download Citation
    Download a citation file in RIS format that can be imported by all major citation management software, including EndNote, ProCite, RefWorks, and Reference Manager.

    Format:
    • RIS — For EndNote, ProCite, RefWorks, and most other reference management software
    • BibTeX — For JabRef, BibDesk, and other BibTeX-specific software
    Include:
    • Citation for the content below
    Portal and Splenic Vein Thrombosis Successfully Treated with Anticoagulants in Acute Pancreatitis
    Ewha Med J. 2014;37(2):116-120.   Published online September 30, 2014
    Close

    Figure

    • 0
    • 1
    • 2
    Portal and Splenic Vein Thrombosis Successfully Treated with Anticoagulants in Acute Pancreatitis
    Image Image Image
    Fig. 1 Computed tomography (CT) findings on admission. (A) Axial CT image shows necrotic changes in the pancreatic tail, fluid collections in the peripancreatic space (arrowheads) and portal vein thrombosis (arrow). (B) Coronal CT image shows portal vein thrombosis extension to splenic vein (arrow).
    Fig. 2 Follow-up computed tomography (CT) findings 7 days later. (A) Axial CT shows no improvement of acute pancreatitis (arrowheads) and the new appearance of left portal vein thrombosis (arrow). (B) Coronal CT shows the new appearance of left portal vein thrombosis (arrow).
    Fig. 3 Follow-up computed tomography (CT) findings 3 months later after anticoagulation. (A, B) CT findings show complete dissolution of portal and splenic vein thrombosis and great improvement of acute pancreatitis.
    Portal and Splenic Vein Thrombosis Successfully Treated with Anticoagulants in Acute Pancreatitis

    Summary of the reported cases of venous thrombosis in acute pancreatitis in Korea

    PV, portal vein; SMV, superior mesenteric vein; SV, splenic vein; LMWH, low molecular weight heparin.

    Table 1 Summary of the reported cases of venous thrombosis in acute pancreatitis in Korea

    PV, portal vein; SMV, superior mesenteric vein; SV, splenic vein; LMWH, low molecular weight heparin.

    TOP