• Contact us
  • E-Submission
ABOUT
BROWSE ARTICLES
JOURNAL POLICIES
FOR CONTRIBUTORS

Articles

Page Path

Case Report

Coronary Spastic Angina and Life Threatening Arrhythmia despite Nitroglycerine Infusion

2014;37(1):56-59. Published online: March 25, 2014

Department of Internal Medicine, Dankook University College of Medicine, Cheonan, Korea.

Corresponding author: Seong-Hoon Lim. Department of Internal Medicine, Dankook University College of Medicine, 201 Manghyang-ro, Dongnam-gu, Cheonan 330-715, Korea. Tel: 82-41-550-7690, Fax: 82-41-556-8122, shlimd@dankook.ac.kr
• Received: September 26, 2013   • Accepted: October 22, 2013

Copyright © 2014. Ewha Womans University School of Medicine

This is an Open Access article distributed under the terms of the Creative Commons Attribution Non-Commercial License (http://creativecommons.org/licenses/by-nc/3.0/) which permits unrestricted non-commercial use, distribution, and reproduction in any medium, provided the original work is properly cited.

  • 1,284 Views
  • 2 Download
prev next
  • Variant angina pectoris is characterized by chest symptoms at rest and transient ST elevation on the electrocardiography due to coronary artery spasm. Although most patients with coronary spasm respond well to medical treatment with vasodilators such as calcium channel blockers and nitrates, some patients show intractable attack of coronary vasospasm despite standard medical therapy. We experienced 50-year-old woman with intractable chest pain due to coronary artery spasm, who suffered from ventricular fibrillation despite continuous intravenous nitrate therapy.
  • 1. Prinzmetal M, Kennamer R, Merliss R, Wada T, Bor N. Angina pectoris: a variant form of angina pectoris; preliminary report. Am J Med 1959;27:375-388.
  • 2. Ajani AE, Yan BP. The mystery of coronary artery spasm. Heart Lung Circ 2007;16:10-15.
  • 3. Gensini GG, Di Giorgi S, Murad-Netto S, Black A. Arteriographic demonstration of coronary artery spasm and its release after the use of a vasodilator in a case of angina pectoris and in the experimental animal. Angiology 1962;13:550-553.
  • 4. Pristipino C, Beltrame JF, Finocchiaro ML, Hattori R, Fujita M, Mongiardo R, et al. Major racial differences in coronary constrictor response between japanese and caucasians with recent myocardial infarction. Circulation 2000;101:1102-1108.
  • 5. Sheehan FH, Epstein SE. Determinants of arrhythmic death due to coronary spasm: effect of preexisting coronary artery stenosis on the incidence of reperfusion arrhythmia. Circulation 1982;65:259-264.
  • 6. Severi S, Davies G, Maseri A, Marzullo P, L'Abbate A. Long-term prognosis of "variant" angina with medical treatment. Am J Cardiol 1980;46:226-232.
  • 7. Freeman WR, Peter T, Mandel WJ. Verapamil therapy in variant angina pectoris refractory to nitrates. Am Heart J 1981;102:358-362.
  • 8. Buxton A, Goldberg S, Hirshfeld JW, Wilson J, Mann T, Williams DO, et al. Refractory ergonovine-induced coronary vasospasm: importance of intracoronary nitroglycerin. Am J Cardiol 1980;46:329-334.
  • 9. Pepine CJ, Feldman RL, Conti CR. Action of intracoronary nitroglycerin in refractory coronary artery spasm. Circulation 1982;65:411-414.
  • 10. Lee G, Mason DT, Amsterdam EA, Miller RR, DeMaria AN. Antianginal efficacy of oral therapy with isosorbide dinitrate capsules: prolonged benefit shown by exercise testing in patients with ischemic heart disease. Chest 1978;73:327-332.
  • 11. Cho JH, Jeong MH, Park WS, Kim NH, Kim SH, Kim JW, et al. The effects of oral nitric oxide donor (molsidomine) in patients with variant angina unresponsive to conventional anti-anginal drugs. Korean Circ J 1998;28:1577-1582.
  • 12. Tani S, Nagao K, Anazawa T, Kawamata H, Furuya S, Takahashi H, et al. Treatment of coronary spastic angina with a statin in addition to a calcium channel blocker: a pilot study. J Cardiovasc Pharmacol 2008;52:28-34.
  • 13. Clark DA, Quint RA, Mitchell RL, Angell WW. Coronary artery spasm. medical management, surgical denervation, and autotransplantation. J Thorac Cardiovasc Surg 1977;73:332-339.
Fig. 1
Electrocardiogram (ECG) on admission. (A) ECG shows ST segment elevation in inferior leads (II, III, aVF). (B) The ECG shows complete remission of ST segment elevation after intravenous nitroglycerin.
emj-37-56-g001.jpg
Fig. 2
ECG after intravenous infusion of nitrates. It shows ventricular fibrillation which is developed despite the intravenous infusion of nitrates.
emj-37-56-g002.jpg
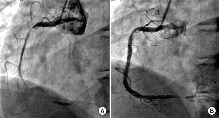
Fig. 3
Coronary angiogram. (A) Coronary angiogram reveals a severe spasm in the proximal and distal portion of right coronary artery. (B) The proximal and distal spasms of the right coronary artery are improved by repeated intracoronary injection of nitroglycerine.
emj-37-56-g003.jpg

Figure & Data

References

    Citations

    Citations to this article as recorded by  

      Download Citation

      Download a citation file in RIS format that can be imported by all major citation management software, including EndNote, ProCite, RefWorks, and Reference Manager.

      Format:

      Include:

      Coronary Spastic Angina and Life Threatening Arrhythmia despite Nitroglycerine Infusion
      Ewha Med J. 2014;37(1):56-59.   Published online March 25, 2014
      Download Citation
      Download a citation file in RIS format that can be imported by all major citation management software, including EndNote, ProCite, RefWorks, and Reference Manager.

      Format:
      • RIS — For EndNote, ProCite, RefWorks, and most other reference management software
      • BibTeX — For JabRef, BibDesk, and other BibTeX-specific software
      Include:
      • Citation for the content below
      Coronary Spastic Angina and Life Threatening Arrhythmia despite Nitroglycerine Infusion
      Ewha Med J. 2014;37(1):56-59.   Published online March 25, 2014
      Close

      Figure

      • 0
      • 1
      • 2
      Coronary Spastic Angina and Life Threatening Arrhythmia despite Nitroglycerine Infusion
      Image Image Image
      Fig. 1 Electrocardiogram (ECG) on admission. (A) ECG shows ST segment elevation in inferior leads (II, III, aVF). (B) The ECG shows complete remission of ST segment elevation after intravenous nitroglycerin.
      Fig. 2 ECG after intravenous infusion of nitrates. It shows ventricular fibrillation which is developed despite the intravenous infusion of nitrates.
      Fig. 3 Coronary angiogram. (A) Coronary angiogram reveals a severe spasm in the proximal and distal portion of right coronary artery. (B) The proximal and distal spasms of the right coronary artery are improved by repeated intracoronary injection of nitroglycerine.
      Coronary Spastic Angina and Life Threatening Arrhythmia despite Nitroglycerine Infusion
      TOP