• Contact us
  • E-Submission
ABOUT
BROWSE ARTICLES
JOURNAL POLICIES
FOR CONTRIBUTORS

Articles

Page Path

Case Report

Stomach and Colon Metastasis from Breast Cancer

2014;37(2):98-104. Published online: September 30, 2014

Department of Internal Medicine, The Catholic University of Korea College of Medicine, Seoul, Korea.

1Department of Pathology, The Catholic University of Korea College of Medicine, Seoul, Korea.

Corresponding author: Suk-Young Park. Division of Hemato-Oncology, Department of Internal Medicine, Daejeon St. Mary's Hospital, 64 Daeheung-ro, Jung-gu, Daejeon 301-723, Korea. Tel: 82-42-220-9114, Fax: 82-42-252-6807, sypark1011@hotmail.com
• Received: September 27, 2013   • Accepted: October 21, 2013

Copyright © 2014. Ewha Womans University School of Medicine

This is an Open Access article distributed under the terms of the Creative Commons Attribution Non-Commercial License (http://creativecommons.org/licenses/by-nc/3.0/) which permits unrestricted non-commercial use, distribution, and reproduction in any medium, provided the original work is properly cited.

  • 1,074 Views
  • 3 Download
  • 1 Crossref
prev next
  • Gastric metastasis from breast cancer is rare and only six cases have been reported in Korea. Colon metastasis is more rare than gastric metastasis. We report a 63-year-old woman with gastric and colon metastases of invasive lobular carcinoma of breast. She was diagnosed as right breast cancer, received right modified radical mastectomy 10 years ago and has been treated with chemotherapy and hormone therapy. Investigating for melena and a small caliber of stool, we found gastric and colon metastases. The diagnosis of metastatic breast cancer was made through gross pathologic and immunohistochemistry staining. We report a case with gastric and colon metastases from breast cancer and a review of the associated six case reports in Korea.
  • 1. Taal BG, den Hartog Jager FC, Steinmetz R, Peterse H. The spectrum of gastrointestinal metastases of breast carcinoma: I. Stomach. Gastrointest Endosc 1992;38:130-135.
  • 2. Lee SI, Moon YM, Kang JK, Park IS, Choi HJ, Kim BS, et al. A case of gastric metastasis from breast cancer. Korean J Gastroenterol 1983;15:157-162.
  • 3. Yim H, Jin YM, Shim C, Park HB. Gastric metastasis of mammary signet ring cell carcinoma: a differential diagnosis with primary gastric signet ring cell carcinoma. J Korean Med Sci 1997;12:256-261.
  • 4. Jeon SH, Lee YS, Kwon TK, Kim SH, Kwon DY, Park KS, et al. A case of gastric metastasis from breast carcinoma manifested by upper gastrointestinal bleeding. Korean J Gastrointest Endosc 2002;24:220-224.
  • 5. Kim DY, Lee KW, Yun T, Kim TY, Heo DS, Bang YJ, et al. Renal, gastric, and multiple intestinal metastases of invasive ductal carcinoma of breast. Korean J Med 2003;65:S836-S840.
  • 6. Hwang SY, Ryu DY, Park JH, Lee DW, Lee DH, Kim TO, et al. A case of gastric metastasis of breast carcinoma resembling early gastric cancer. Korean J Gastroenterol 2005;46:481-484.
  • 7. Cheoi KS, Lee WY, Eum YO, Kim HS, Lee OJ, Lee KH, et al. A case of stomach metastasis from breast cancer. Korean J Med 2006;71:567-572.
  • 8. Cifuentes N, Pickren JW. Metastases from carcinoma of mammary gland: an autopsy study. J Surg Oncol 1979;11:193-205.
  • 9. Taal BG, Peterse H, Boot H. Clinical presentation, endoscopic features, and treatment of gastric metastases from breast carcinoma. Cancer 2000;89:2214-2221.
  • 10. Valmadre G, Epis R, Pastorini A, Castello C. Bone marrow involvement in breast cancer with pancytopenia: a case of good target selection. J Clin Oncol 2008;26(15S):12026.
Fig. 1
Microscopic findings. They show that the tumor cells of Invasive lobular carcinoma of breast arepositive for estrogen receptor (ER) and progesteron receptor (PR), Her2/neu. (A) Invasive lobular carcinoma of breast (H&E, ×100). (B) Invasive lobular carcinoma of breast (H&E, ×400). (C) Positive immunohistochemistry for ER (×400). (D) Positive immunohistochemistry for PR (×400). (E) Weakly positive immunohistochemistry for Her2/neu (×400).
emj-37-98-g001.jpg
Fig. 2
(A) Endoscopic finding. They show linitis plastica at the upper and middle of the stomach body. Elevated lesion with central depression is noted on the cardia. (B) Abdominal computed tomography scans show irregular wall thickening of gastric body and antrum. Circumferential wall thickening in rectosigmoid junction and upper rectum are also shown. (C) Sigmoidoscopy shows mucosal edema and irregular elevation of mucosa. Mild obstruction of colonic lumen is shown.
emj-37-98-g002.jpg
Fig. 3
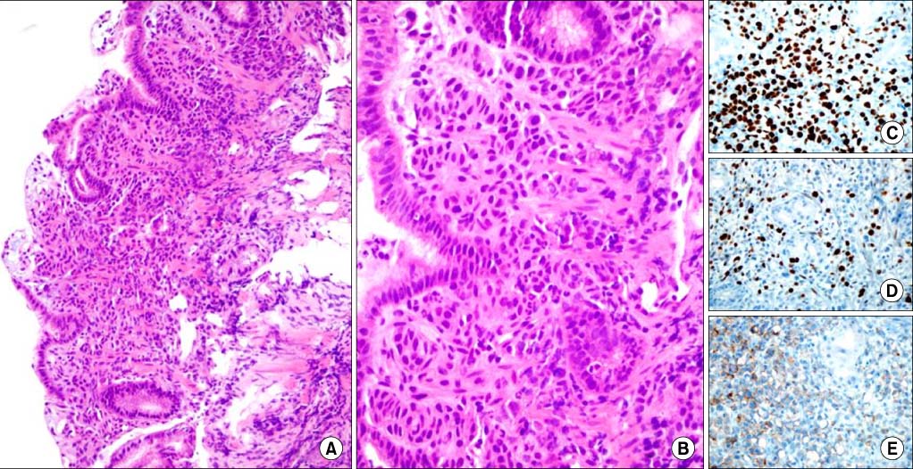
Microscopic findings. They show that the tumor cells of metastatic breast carcinoma in stomach are positive for estrogen receptor (ER) and progesteron receptor (PR), Her2/neu. (A) Metastatic breast carcinoma in stomach (H&E, ×200). (B) Metastatic breast carcinoma in stomach (H&E, ×400). (C) Positive immunohistochemistry for ER (×400). (D) Positive immunohistochemistry for PR (×400). (E) Weakly positive immunohistochemistry for Her2/neu (×400).
emj-37-98-g003.jpg
Fig. 4
Microscopic findings. They show that the tumor cells of metastatic breast carcinoma in colon are positive for estrogen receptor (ER) and progesteron receptor (PR), Her2/neu. (A) Metastatic breast carcinoma in colon (H&E, ×200). (B) Metastatic breast carcinoma in colon (H&E, ×400). (C) Positive immunohistochemistry for ER (×400). (D) Positive immunohistochemistry for PR (×400). (E) Weakly positive immunohistochemistry for Her2/neu (×400).
emj-37-98-g004.jpg
Table 1
Clinical characteristics of 7 patients with gastric metastasis of breast cancer in Korea

ER, estrogen receptor; PR, progesterone receptor; GCDFP-15, gross cystic disease fluid protein 15.

emj-37-98-i001.jpg

Figure & Data

References

    Citations

    Citations to this article as recorded by  
    • Simultaneous Gastric and Colonic Metastasis of Breast Cancer
      Inês Botto, Rafael Moiteiro Cruz, Carlos Noronha Ferreira, Ana Isabel Valente, Luis Carrilho-Ribeiro, Rui Tato-Marinho, Cristina Ferreira, Luis Correia
      ACG Case Reports Journal.2023; 10(10): e01168.     CrossRef

    Download Citation

    Download a citation file in RIS format that can be imported by all major citation management software, including EndNote, ProCite, RefWorks, and Reference Manager.

    Format:

    Include:

    Stomach and Colon Metastasis from Breast Cancer
    Ewha Med J. 2014;37(2):98-104.   Published online September 30, 2014
    Download Citation
    Download a citation file in RIS format that can be imported by all major citation management software, including EndNote, ProCite, RefWorks, and Reference Manager.

    Format:
    • RIS — For EndNote, ProCite, RefWorks, and most other reference management software
    • BibTeX — For JabRef, BibDesk, and other BibTeX-specific software
    Include:
    • Citation for the content below
    Stomach and Colon Metastasis from Breast Cancer
    Ewha Med J. 2014;37(2):98-104.   Published online September 30, 2014
    Close

    Figure

    • 0
    • 1
    • 2
    • 3
    Stomach and Colon Metastasis from Breast Cancer
    Image Image Image Image
    Fig. 1 Microscopic findings. They show that the tumor cells of Invasive lobular carcinoma of breast arepositive for estrogen receptor (ER) and progesteron receptor (PR), Her2/neu. (A) Invasive lobular carcinoma of breast (H&E, ×100). (B) Invasive lobular carcinoma of breast (H&E, ×400). (C) Positive immunohistochemistry for ER (×400). (D) Positive immunohistochemistry for PR (×400). (E) Weakly positive immunohistochemistry for Her2/neu (×400).
    Fig. 2 (A) Endoscopic finding. They show linitis plastica at the upper and middle of the stomach body. Elevated lesion with central depression is noted on the cardia. (B) Abdominal computed tomography scans show irregular wall thickening of gastric body and antrum. Circumferential wall thickening in rectosigmoid junction and upper rectum are also shown. (C) Sigmoidoscopy shows mucosal edema and irregular elevation of mucosa. Mild obstruction of colonic lumen is shown.
    Fig. 3 Microscopic findings. They show that the tumor cells of metastatic breast carcinoma in stomach are positive for estrogen receptor (ER) and progesteron receptor (PR), Her2/neu. (A) Metastatic breast carcinoma in stomach (H&E, ×200). (B) Metastatic breast carcinoma in stomach (H&E, ×400). (C) Positive immunohistochemistry for ER (×400). (D) Positive immunohistochemistry for PR (×400). (E) Weakly positive immunohistochemistry for Her2/neu (×400).
    Fig. 4 Microscopic findings. They show that the tumor cells of metastatic breast carcinoma in colon are positive for estrogen receptor (ER) and progesteron receptor (PR), Her2/neu. (A) Metastatic breast carcinoma in colon (H&E, ×200). (B) Metastatic breast carcinoma in colon (H&E, ×400). (C) Positive immunohistochemistry for ER (×400). (D) Positive immunohistochemistry for PR (×400). (E) Weakly positive immunohistochemistry for Her2/neu (×400).
    Stomach and Colon Metastasis from Breast Cancer

    Clinical characteristics of 7 patients with gastric metastasis of breast cancer in Korea

    ER, estrogen receptor; PR, progesterone receptor; GCDFP-15, gross cystic disease fluid protein 15.

    Table 1 Clinical characteristics of 7 patients with gastric metastasis of breast cancer in Korea

    ER, estrogen receptor; PR, progesterone receptor; GCDFP-15, gross cystic disease fluid protein 15.

    TOP