• Contact us
  • E-Submission
ABOUT
BROWSE ARTICLES
JOURNAL POLICIES
FOR CONTRIBUTORS

Articles

Page Path

Case Report

Fatal Small Bowel Bleeding with very Low Risk Gastrointestinal Stromal Tumor in Jejunum

2015;38(2):72-75. Published online: July 29, 2015

Department of Internal Medicine, Kyung Hee University Hospital at Gangdong, Kyung Hee University School of Medicine, Seoul, Korea.

Corresponding author: Jae Myung Cha. Department of Internal Medicine, Kyung Hee University Hospital at Gangdong, 892 Dongnam-ro, Gangdong-gu, Seoul 134-727, Korea. Tel: 82-2-440-6113, Fax: 82-2-440-6295, drcha@khu.ac.kr
• Received: March 26, 2015   • Accepted: June 3, 2015

Copyright © 2015, The Ewha Medical Journal

This is an Open Access article distributed under the terms of the Creative Commons Attribution Non-Commercial License (http://creativecommons.org/licenses/by-nc/3.0/) which permits unrestricted non-commercial use, distribution, and reproduction in any medium, provided the original work is properly cited.

  • 695 Views
  • 6 Download
prev next
  • Gastrointestinal stromal tumor (GIST) is the most common mesenchymal neoplasm of the gastrointestinal (GI) tract. These tumors are frequently small, asymptomatic and found incidentally. GI bleeding is a common complication of these tumors, but small sized, very low risk GIST rarely complicated with fatal bleeding. In this report, we describe a 42-year-old woman with a jejunal GIST accompanied by severe GI bleeding. She presented with melena and an angiographic embolization was performed for a jejunal mass with bleeding. However, rebleeding was suspected after an angiographic embolization and an emergent segmental resection for the bleeding mass was performed. She was finally diagnosed as a 1.8 cm sized very low risk GIST in jejunum. In conclusion, physician should consider that even very low risk GIST can be the cause of GI bleeding when there is severe bleeding.
  • 1. Pidhorecky I, Cheney RT, Kraybill WG, Gibbs JF. Gastrointestinal stromal tumors: current diagnosis, biologic behavior, and management. Ann Surg Oncol 2000;7:705-712.
  • 2. Joensuu H. Gastrointestinal stromal tumor (GIST). Ann Oncol 2006;17:Suppl 10. x280-x286.
  • 3. Singhal T, Doddi S, Leake T, Parsi S, Hussain A, Chandra A, et al. Upper gastrointestinal bleeding due to gastric stromal tumour: a case report. Cases J 2010;3:58.
  • 4. Daldoul S, Moussi A, Triki W, Baraket RB, Zaouche A. Jejunal GIST causing acute massive gastrointestinal bleeding: role of multidetector row helical CT in the preoperative diagnosis and management. Arab J Gastroenterol 2012;13:153-157.
  • 5. Kramer K, Siech M, Strater J, Aschoff AJ, Henne-Bruns D. GI hemorrhage with fulminant shock induced by jejunal gastrointestinal stromal tumor (GIST) coincident with duodenal neuroendocrine carcinoma (NET) + neurofibromatosis (NF): case report and review of the literature. Z Gastroenterol 2005;43:281-288.
  • 6. Nilsson B, Bümming P, Meis-Kindblom JM, Oden A, Dortok A, Gustavsson B, et al. Gastrointestinal stromal tumors: the incidence, prevalence, clinical course, and prognostication in the preimatinib mesylate era: a population-based study in western Sweden. Cancer 2005;103:821-829.
  • 7. Jhu IK, Joo YE, Park GS, Park MH, Park SU, Lee NH, et al. A case of duodenal gastrointestinal stromal tumor presenting with gastrointestinal bleeding. Korean J Gastrointest Endosc 2005;31:121-125.
  • 8. Judson I. Gastrointestinal stromal tumours (GIST): biology and treatment. Ann Oncol 2002;13:Suppl 4. 287-289.
  • 9. Choi H, Choi KY, Eun CS, Jang HJ, Park DI, Chang DK, et al. Korean experience with double balloon endoscopy: Korean Association for the Study of Intestinal Diseases multi-center study. Gastrointest Endosc 2007;66:3 Suppl. S22-S25.
  • 10. Yoon W, Jeong YY, Shin SS, Lim HS, Song SG, Jang NG, et al. Acute massive gastrointestinal bleeding: detection and localization with arterial phase multi-detector row helical CT. Radiology 2006;239:160-167.
  • 11. Tew K, Davies RP, Jadun CK, Kew J. MDCT of acute lower gastrointestinal bleeding. AJR Am J Roentgenol 2004;182:427-430.
  • 12. Bensimhon D, Soyer P, Boudiaf M, Fargeaudou Y, Nemeth J, Pocard M, et al. Imaging of gastrointestinal stromal tumors. J Radiol 2009;90:469-480.
  • 13. Sass DA, Chopra KB, Finkelstein SD, Schauer PR. Jejunal gastrointestinal stromal tumor: a cause of obscure gastrointestinal bleeding. Arch Pathol Lab Med 2004;128:214-217.
  • 14. Majdoub Hassani KI, Zahid FZ, Ousadden A, Mazaz K, Taleb KA. Gastrointestinal stromal tumors and shock. J Emerg Trauma Shock 2009;2:199-202.
  • 15. Fletcher CD, Berman JJ, Corless C, Gorstein F, Lasota J, Longley BJ, et al. Diagnosis of gastrointestinal stromal tumors: a consensus approach. Hum Pathol 2002;33:459-465.
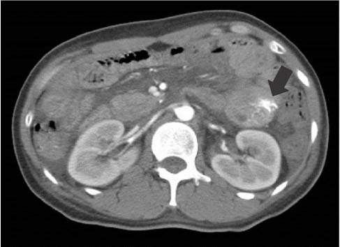
Fig. 1

Abdominal computed tomography finding. It shows extravasation of contrast agent with 1.5 cm sized filling detect (black arrow). It allows assessment of active bleeding in proximal jejunal loop with small mass.

emj-38-72-g001.jpg
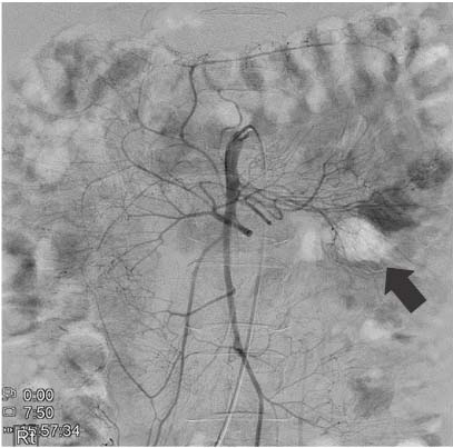
Fig. 2

Superior mesenteric artery angiography. Active extravasation is noted from the 1st jejunal branch (black arrow).

emj-38-72-g002.jpg
Fig. 3

Gross findings of resected specimen. (A) It shows a 1.8×1.5×1.5 cm sized, encapsulated lobulating mass with hemorrhage. (B) The cut surface shows a gray-white solid tumor with multifocal hemorrhages (black arrow).

emj-38-72-g003.jpg
Fig. 4

Microscopic findings of resected specimen. (A) It reveals spindle shaped cells arranged in fascicular pattern (H&E, ×400). (B) In immunohistochemical staining, the tumor cells are positive for c-kit (c-kit stain, ×200).

emj-38-72-g004.jpg

Figure & Data

References

    Citations

    Citations to this article as recorded by  

      Download Citation

      Download a citation file in RIS format that can be imported by all major citation management software, including EndNote, ProCite, RefWorks, and Reference Manager.

      Format:

      Include:

      Fatal Small Bowel Bleeding with very Low Risk Gastrointestinal Stromal Tumor in Jejunum
      Ewha Med J. 2015;38(2):72-75.   Published online July 29, 2015
      Download Citation
      Download a citation file in RIS format that can be imported by all major citation management software, including EndNote, ProCite, RefWorks, and Reference Manager.

      Format:
      • RIS — For EndNote, ProCite, RefWorks, and most other reference management software
      • BibTeX — For JabRef, BibDesk, and other BibTeX-specific software
      Include:
      • Citation for the content below
      Fatal Small Bowel Bleeding with very Low Risk Gastrointestinal Stromal Tumor in Jejunum
      Ewha Med J. 2015;38(2):72-75.   Published online July 29, 2015
      Close

      Figure

      • 0
      • 1
      • 2
      • 3
      Fatal Small Bowel Bleeding with very Low Risk Gastrointestinal Stromal Tumor in Jejunum
      Image Image Image Image
      Fig. 1 Abdominal computed tomography finding. It shows extravasation of contrast agent with 1.5 cm sized filling detect (black arrow). It allows assessment of active bleeding in proximal jejunal loop with small mass.
      Fig. 2 Superior mesenteric artery angiography. Active extravasation is noted from the 1st jejunal branch (black arrow).
      Fig. 3 Gross findings of resected specimen. (A) It shows a 1.8×1.5×1.5 cm sized, encapsulated lobulating mass with hemorrhage. (B) The cut surface shows a gray-white solid tumor with multifocal hemorrhages (black arrow).
      Fig. 4 Microscopic findings of resected specimen. (A) It reveals spindle shaped cells arranged in fascicular pattern (H&E, ×400). (B) In immunohistochemical staining, the tumor cells are positive for c-kit (c-kit stain, ×200).
      Fatal Small Bowel Bleeding with very Low Risk Gastrointestinal Stromal Tumor in Jejunum
      TOP