Abstract
Differential diagnosis of invasive aspergillosis from other pulmonary fungal infections including mucormycosis is important because the treatment is pathogen-dependent. Clinically, invasive aspergillosis is often discriminated from other mold infections on the basis of typical histopathologic features in the biopsy specimen. However, biopsy alone is not always complete because different fungal species can display similar histopathologic features. Surrogate markers or molecular-based assays can be useful when the results of conventional diagnostic modalities are conflicting. Here, we present a case of invasive pulmonary aspergillosis histologically mimicking mucormycosis, which was confirmed by fungal polymerase chain reaction.
-
Keywords: Aspergillosis; Galactomannan; Mucormycosis; Polymerase chain reaction
Introduction
With the increase of immunocompromized or severely ill patients with diabetes or hematologic malignancies, the incidence of invasive fungal infections is on the rise globally. Although new antifungal agents have become available, invasive fungal infections continue to be significant sources of morbidity and mortality in hospitalized patients [
1]. Poor outcome of invasive fungal infections is not only related to patients' impaired immunity or comorbidities but also lack of rapid and sensitive diagnostic modalities, and the resulting delayed initiation of treatment [
2]. Invasive aspergillosis is the principal form of invasive fungal infection, with most cases caused by
Aspergillus fulmigatus. However, other
Aspergillus species and Zygomycetes, such as mucorales, have recently emerged as important invasive fungal pathogens [
3].
It is crucial to distinguish invasive aspergillosis and mucormycosis because these two mold infections have different susceptibilities to antifungal agents. However, diagnosis of an invasive fungal infection can be challenging since current diagnostic methods are not sufficiently sensitive or specific, and require an extended time that is clinically prohibitive. Radiologically, halo or reverse halo sign on chest computed tomography (CT) scan could aid differential diagnosis. Studies have reported that reverse halo sign favors pulmonary mucormycosis rather than aspergillosis in immunocompromised patients [
45]. However, those radiologic findings is useful only in the early course of the disease, and data for immunocompetent host is still lacking [
6]. Fungal culture can be useful in the identification of a particular pathogen. However, the approach is limited by low sensitivity and a relative prolonged time for results. Although microscopic examination of tissue specimens is considered as a gold standard, it suffers from the limitations of the occurrence of atypical morphologies and similar histopathologic characteristics of different organisms [
7]. Galactomannan, which is a component of the cell wall of
Aspergillus species, can be a useful surrogate marker for invasive aspergillosis. However, false-positive and false-negative reactions remain problematic [
8]. In the face of conflicting findings in the conventional diagnostic modalities, nucleic acid-based examinations can enable a conclusive diagnosis [
9].
Here, we present a case of invasive pulmonary aspergillosis that histologically mimicked mucormycosis, in which the confirmatory diagnosis was made using nucleic acid-based methods.
Case
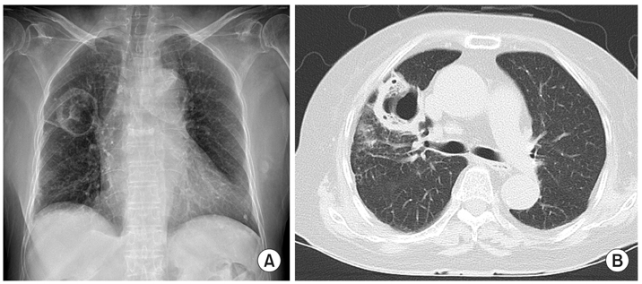
A 75-year-old female presented to the pulmonary department complaining of febrile sensation, cough and sputum for 2 weeks. She had a 15-year history of hypertension, diabetes mellitus, and osteoarthritis, and a 3-year history of adrenal insufficiency due to long-term intake of herb medication. She was taking 2.5 mg of prednisolone per day. Her heart rate was 90 beats per minute, respiration rate was 20 breaths per minute, and body temperature was 37.8℃. Auscultation of the chest revealed no abnormal lung and heart sounds. Laboratory findings revealed a white blood cell count of 12,440/µL (neutrophil 76.4%), C-reactive protein 56 mg/L, and glycated hemoglobin 7.5%. Chest X-ray revealed a cavitary lesion at right upper lobe. Chest CT scan showed a 4 cm-sized irregularwalled cavity with surrounding alveolar consolidation (
Fig. 1). Bronchoscopy revealed the absence of endobronchial lesion. Bronchoscopic washing was negative for bacterial and tuberculosis infection. Broad-spectrum antibiotics were administered and CT-guided percutaneous needle biopsy was done under the suspicion of invasive fungal infection. Histopathology revealed broad, non-septated and irregularly-shaped hyphae with infiltration of inflammatory cells that was suspicious of mucormycosis (
Fig. 2). Although the galactomannan assay was not performed using bronchoscopic washing fluid, the assay using serum was positive (1.33 index). Fungal culture was negative. The discrepant results prompted fungal polymerase chain reaction (PCR) of a tissue specimen and we requested fungal PCR to other institution. The PCR was performed using DNA sample isolated from paraffin-embedded tissue. Internal transcribed spacer (ITS) and β-tubulin genes were used for sequencing to identify species complex and species within complexes, respectively [
10]. The sequences derived from the ITS and β-tubulin regions were compared with sequences available in GenBank by means of the BLAST program (
http://blast.ncbi.nlm.nih.gov/Blast.cgi) [
10]. The PCR results confirmed the presence of
A. fulmigatus (
Fig. 3). The final diagnosis of invasive pulmonary aspergillosis prompted voriconazole therapy (intravenous for 2 weeks followed by oral maintenance for 2 months). Symptoms gradually improved and follow-up radiography showed a markedly shrunken cavity lesion (
Fig. 4).
Discussion
Aspergillus species and Mucorales are the principal pathogen for invasive fungal infection. Differential diagnosis of this infection is important because each pathogen responds differently to different antifungal agents. However, definite diagnosis of invasive fungal infection is difficult as current diagnostic methods do not have sufficient sensitivity and specificity. A clinical trial on the treatment of aspergillosis established a definite diagnosis of aspergillosis in only 40% of cases [
11]. In clinical practice, the characteristic morphology of hyphae in histopathologic examination is considered as the gold standard for the diagnosis of invasive aspergillosis. In contrast to mucormycosis, which appears as broad (6–16 µm), nonseptated hyphae with branches at right angles, aspergillosis is characterized by thin, regular, septated, and acute branching hyphae [
12]. However, histopathologic examination is challenging in that other fungal pathogen such as
Fusarium and
Scedosporium species may not distinguishable from
Aspergillus species by hyphal morphology, and nondetection of fungi does not necessarily rule out fungal infection [
2]. In addition, the risk of bleeding often prevents an invasive procedure, especially in patients with hematologic malignancies. Furthermore, histopathologic results can be inconsistent with those of other methods. In one study, histopathology and culture results were discordant in 17% of the specimens of invasive fungal infection [
13]. Thus, diagnosis of invasive fungal infection should be made cautiously and comprehensively.
New diagnostic modalities for fungal infection have drawn attention for their improved sensitivity and specificity. Galactomannan is a useful surrogate marker for invasive aspergillosis as it is released into the surrounding environment during fungal invasion. A meta-analysis reported that serum galactomannan assay had a 71% and 89% diagnostic sensitivity and specificity, respectively, for invasive aspergillosis [
14]. However, false positivity can result from the use of β-lactam antibiotics (such as piperacillin-tazobactam) and the presence of certain other invasive mycoses like
Penicillium. False-negativity may result from concomitant antifungal use or low infection burden [
8].
Increasing evidence supports the use of fungal PCR as a diagnostic tool for fungal infections. Real-time fungal PCR is more rapid, sensitive, and specific method compared to conventional techniques, and so can enable timely initiation of antifungal therapy. In one study, fungal PCR was superior to culture methods in distinguishing aspergillosis and mucormycosis in histologically positive specimens [
15]. The combination of real-time PCR and galactomannan assay can improve the diagnostic sensitivity for invasive aspergillosis in patients with febrile neutropenia [
9]. Despite of those proven usefulness, fungal PCR has not been widely adopted in routine clinical practice and only a few institution or labs can perform fungal PCR with universal fungal primers.
As shown in this case, fungal PCR is a useful complementary method that can be crucial in the diagnosis of invasive fungal infection. Clinicians should keep in mind that the differential diagnosis of fungal infection should be comprehensively made with clinical, histopathological, and microbiologic evidence. Additionally, new diagnostic modalities including PCR should be considered, as they could provide critical information when the results of other diagnostics are conflicting.
Acknowledgements
The authors thank Professor Jong Hee Shin (Chonnam University Hwasun Hospital, Department of Laboratory Medicine) for the PCR assay of this case.
References
- 1. Pfaller MA, Diekema DJ. Epidemiology of invasive mycoses in North America. Crit Rev Microbiol 2010;36:1-53.
- 2. Ostrosky-Zeichner L. Invasive mycoses: diagnostic challenges. Am J Med 2012;125:1 Suppl. S14-S24.
- 3. Marr KA, Carter RA, Crippa F, Wald A, Corey L. Epidemiology and outcome of mould infections in hematopoietic stem cell transplant recipients. Clin Infect Dis 2002;34:909-917.
- 4. Legouge C, Caillot D, Chretien ML, Lafon I, Ferrant E, Audia S, et al. The reversed halo sign: pathognomonic pattern of pulmonary mucormycosis in leukemic patients with neutropenia? Clin Infect Dis 2014;58:672-678.
- 5. Wahba H, Truong MT, Lei X, Kontoyiannis DP, Marom EM. Reversed halo sign in invasive pulmonary fungal infections. Clin Infect Dis 2008;46:1733-1737.
- 6. Caillot D, Couaillier JF, Bernard A, Casasnovas O, Denning DW, Mannone L, et al. Increasing volume and changing characteristics of invasive pulmonary aspergillosis on sequential thoracic computed tomography scans in patients with neutropenia. J Clin Oncol 2001;19:253-259.
- 7. Chandrasekar P. Diagnostic challenges and recent advances in the early management of invasive fungal infections. Eur J Haematol 2010;84:281-290.
- 8. Hsu JL, Ruoss SJ, Bower ND, Lin M, Holodniy M, Stevens DA. Diagnosing invasive fungal disease in critically ill patients. Crit Rev Microbiol 2011;37:277-312.
- 9. Cuenca-Estrella M, Meije Y, Diaz-Pedroche C, Gomez-Lopez A, Buitrago MJ, Bernal-Martinez L, et al. Value of serial quantification of fungal DNA by a real-time PCR-based technique for early diagnosis of invasive Aspergillosis in patients with febrile neutropenia. J Clin Microbiol 2009;47:379-384.
- 10. Balajee SA, Houbraken J, Verweij PE, Hong SB, Yaghuchi T, Varga J, et al. Aspergillus species identification in the clinical setting. Stud Mycol 2007;59:39-46.
- 11. Herbrecht R, Denning DW, Patterson TF, Bennett JE, Greene RE, Oestmann JW, et al. Voriconazole versus amphotericin B for primary therapy of invasive aspergillosis. N Engl J Med 2002;347:408-415.
- 12. Spellberg B, Edwards J Jr, Ibrahim A. Novel perspectives on mucormycosis: pathophysiology, presentation, and management. Clin Microbiol Rev 2005;18:556-569.
- 13. Lee S, Yun NR, Kim KH, Jeon JH, Kim EC, Chung DH, et al. Discrepancy between histology and culture in filamentous fungal infections. Med Mycol 2010;48:886-888.
- 14. Pfeiffer CD, Fine JP, Safdar N. Diagnosis of invasive aspergillosis using a galactomannan assay: a meta-analysis. Clin Infect Dis 2006;42:1417-1427.
- 15. Rickerts V, Mousset S, Lambrecht E, Tintelnot K, Schwerdtfeger R, Presterl E, et al. Comparison of histopathological analysis, culture, and polymerase chain reaction assays to detect invasive mold infections from biopsy specimens. Clin Infect Dis 2007;44:1078-1083.
Fig. 1Chest imaging at presentation. (A) Chest X-ray shows a 4 cm-sized cavitary lesion at right upper lobe. (B) Chest computed tomography scan reveals a thick, irregular-walled cavity at right upper lobe.
Fig. 2Histopathologic image. In the biopsy specimen, non-septated and broad hyphae (arrows) with infiltration of inflammatory cells are detected. The finding is suspicious of mucormycosis (H&E, ×200).
Fig. 3Polymerase chain reaction results using β-tubulin gene. Internal transcribed space and β-tubulin genes were used to identify isolate to the species complex level and to the species level within the complex, respectively. The sequences derived from those two genes were compared with sequences available in GenBank. The results confirmed that the isolate is 100% identical to Aspergillus fulmigatus.
Fig. 4Chest computed tomography scan after treatment with voriconazole. After 2 months of treatment, the lesion is markedly shrunken with remnant small consolidation.
Figure & Data
Citations
Citations to this article as recorded by

- A Case of Lung Abscesses Secondary to Mucormycosis in a Diabetic Female Patient
Rabia Seher Alvi, Kamran Khan Sumalani, Nausheen Saifullah, Sadhna Priya, Saifullah, Rabia Javed
Pakistan BioMedical Journal.2023;[Epub] CrossRef - Pulmonary mucormycosis in post-pulmonary tuberculosis as an emerging risk factor: A rare case report
Divya Khanduja, Naveen Pandhi
Journal of Pulmonology and Respiratory Research.2021; 5(1): 059. CrossRef - Pulmonary mucormycosis in immunocompetent hosts diagnosed by bronchioalveolar lavage
Sunil Kumar, Divya Joshi
BMJ Case Reports.2021; 14(4): e240180. CrossRef - CASE OF POST COVID PULMONARY MUCORMYCOSIS
Chetan Prajapati, Jagruti Ahir, Ghanshyam Borisagar, Madhavi Dhameliya
PARIPEX INDIAN JOURNAL OF RESEARCH.2021; : 51. CrossRef - Pulmonary Mucormycosis: A Case Report of a Rare Infection with Potential Diagnostic Problems
Salwa O. Mekki, Amal A. Hassan, Afnan Falemban, Nashwa Alkotani, Salem M. Alsharif, Ahmed Haron, Basim Felemban, Mohammad S. Iqbal, Aisha Tabassum
Case Reports in Pathology.2020; 2020: 1. CrossRef