• Contact us
  • E-Submission
ABOUT
BROWSE ARTICLES
JOURNAL POLICIES
FOR CONTRIBUTORS

Articles

Page Path

Case Report

Bilateral axillo-breast approach robotic total thyroidectomy without isthmectomy: a case report

2024;47(1):e7. Published online: January 31, 2024

1Department of Surgery, Ewha Womans University College of Medicine, Seoul, Korea

*Corresponding author: Hyungju Kwon, Department of Surgery, Ewha Womans University College of Medicine, 1071 Anyangcheon-ro, Yangcheon-Gu, Seoul 07985, Korea, Tel: 82-2-2650-5273, Fax: 82-2-2655-7984, E-mail: hkwon@ewha.ac.kr
• Received: November 13, 2023   • Revised: January 18, 2024   • Accepted: January 22, 2024

© Copyright 2024 Ewha Womans University College of Medicine and Ewha Medical Research Institute

This is an Open-Access article distributed under the terms of the Creative Commons Attribution Non-Commercial License (http://creativecommons.org/licenses/by-nc/4.0) which permits unrestricted non-commercial use, distribution, and reproduction in any medium, provided the original work is properly cited.

  • 2,275 Views
  • 19 Download
prev
  • Conventional open thyroidectomy is a safe procedure, but it has the disadvantage of leaving noticeable scars on the neck. Bilateral axillo-breast approach (BABA) robotic thyroidectomy was developed as an alternative technique to remove thyroid glands without making incisions in the neck. In traditional BABA robotic thyroidectomy, dividing the isthmus is a routine step to improve the efficiency of the dissection during thyroid surgery. However, there are safety concerns when performing this procedure on patients with thyroid cancer located in the isthmus. We report a case of BABA robotic total thyroidectomy carried out without dividing the isthmus in a patient with isthmic papillary thyroid carcinoma. Our experience suggests that BABA robotic surgery can be a feasible and safe option for selected patients with isthmic papillary thyroid carcinoma.
The incidence of thyroid cancer has risen over the past three decades in Korea [1]. This cancer is more common in women than in men and generally has a favorable prognosis [2], raising significant concerns about the quality of life after surgery. While conventional open thyroidectomy is a safe procedure, it has the drawback of leaving noticeable scars on the neck. Given the ongoing increase in thyroid cancer cases, particularly among socially active young women, the cosmetic implications of surgical treatment must be carefully considered [3].
Bilateral axillo-breast approach (BABA) robotic thyroidectomy was developed as an alternative technique for the removal of thyroid glands without making an incision in the neck. Its cosmetic advantages and surgical safety have been extensively documented. Typically, in BABA robotic thyroidectomy, the isthmus is divided early in the procedure to enhance the efficiency of the dissection during thyroid surgery [4]. However, there are safety concerns when performing this procedure on patients with thyroid cancer located in the isthmus. This report describes a case in which BABA robotic total thyroidectomy was successfully performed without dividing the isthmus in a patient diagnosed with isthmic papillary thyroid carcinoma (PTC).
Ethics statement
Informed consent for publication of the images was obtained from the patient.
Case
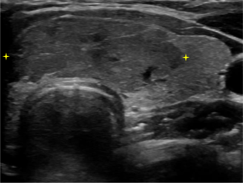
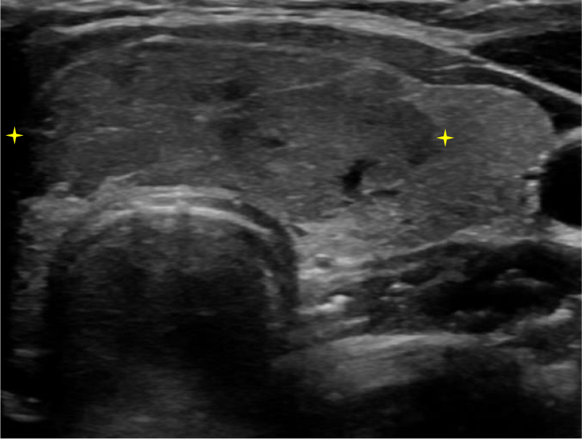
A 24-year-old female patient presented to Ewha University Medical Center in August 2021 with a palpable mass in the anterior neck. Upon examination, a movable mass measuring 2.5 cm was detected in the thyroid gland's isthmus. Thyroid function tests were within normal limits, with free thyroxine at 1.23 ng/dL and thyroid-stimulating hormone at 2.50 mIU/L. Ultrasonography of the thyroid revealed a hypoechoic nodule in the isthmus, measuring 3.1×1.1 cm (Fig. 1). A fine needle aspiration biopsy was performed, confirming the diagnosis of PTC (Bethesda category VI). The patient was informed of the test results and the implications of surgery. Opting to avoid a visible scar from an open procedure, she chose BABA robotic thyroidectomy. Informed consent was obtained following a thorough discussion about the advantages and disadvantages of robotic thyroid surgery without division of the isthmus. The patient subsequently underwent BABA robotic total thyroidectomy with central compartment neck dissection for the treatment of isthmic PTC.
Fig. 1.

Thyroid ultrasonography of an isthmic tumor.

emj-47-1-7-g1.jpg
Skin flaps were marked, and diluted epinephrine was administered in the flap region for hydrodissection. Subsequently, skin flaps were elevated using a tunneler, and bilateral circumareolar and axillary ports were placed [4]. Following the standard flap dissection technique, we carried out en bloc resection of the entire thyroid gland, maintaining the integrity of the isthmus. The procedure was completed without the need for open conversion. The total operation time, defined as the duration from the initial epinephrine injection to the completion of skin closure, was 175 minutes, and the estimated blood loss was minimal (50 mL). The surgical specimen was removed through the site where the left axillary port was inserted, without the need to extend the incision (Fig. 2).
Fig. 2.

Left axillary incision scar after 2 weeks.

emj-47-1-7-g2.jpg
The patient's postoperative recovery was uneventful, and she was discharged on the third day following surgery, resulting in a total hospital stay of 5 days. The excised specimen included the right lobe of the thyroid gland, measuring 5.5×3×1.6 cm, and the left lobe, measuring 5×2.7×1.5 cm, with the entire gland weighing 29 g. The primary tumor was located in the lower portion of the left thyroid, extending through the isthmus to the lower portion of the right thyroid. Pathological examination revealed a 3.0×2.5 cm isthmic PTC and an incidental 0.3 cm microcarcinoma in the right thyroid gland. Two lymph node metastases were identified, each measuring 3 mm, without evidence of extracapsular extension. The resection margins were clear of disease (Fig. 3).
Fig. 3.

Specimen photography showing isthmic thyroid cancer measuring 3 cm.

emj-47-1-7-g3.jpg
The patient underwent treatment with radioactive iodine, receiving a dose of 50 mCi of I-131. The postoperative examination revealed no complications, including transient hypoparathyroidism or injury to the recurrent laryngeal nerve. Following a 24-month follow-up period, the patient displayed excellent cosmetic outcomes, with the scar being barely noticeable.
The anterior transcervical approach has been the standard method for thyroid surgery for over a century, following the introduction of modern thyroid surgery techniques by Sir Theodor Billroth and Theodor Kocher [4]. However, this approach inevitably leaves a noticeable scar on the front of the neck. Given that the incidence of thyroid cancer is increasing, particularly among younger women [2], these surgical scars can cause significant psychological distress [5]. In light of this, robotic thyroid surgery has emerged as an alternative to the traditional anterior transcervical thyroidectomy.
In conventional BABA thyroidectomy, the isthmus is divided with an endoscopic energy device. This step facilitates the lateral and posterior dissection of the gland, allowing for optimal visualization of the superior thyroid pedicle [6]. Additionally, the left axillary trocar site used for specimen retrieval is relatively small, typically 1−2 cm, which makes it challenging to extract the entire thyroid gland without additional incisions to enlarge the opening [6]. Consequently, there have been very few reported cases of BABA robotic total thyroidectomy performed without dividing the isthmus for large isthmic cancer, a technique aimed at ensuring oncologic safety and reducing complications.
Herein, we performed BABA robotic total thyroidectomy without isthmic division on a 3-cm isthmic PTC, ensuring oncologic and surgical safety. BABA robotic surgery may be a feasible and safe option for selected patients with isthmic tumors.

Conceptualization: Kwon H

Formal analysis: Kim H

Investigation: Kim H

Methodology: Kwon H

Project administration: Kwon H

Writing – original draft: Kim H, Hwang H, Kwon H

Writing – review & editing: Kim H, Hwang H, Kwon H

Hyungju Kwon serves as the editorial board members of the Ewha Medical Journal, but had no role in the decision to publish this article. No other potential conflict of interest relevant to this article was reported.

Not applicable.

The data presented in this study are available upon request from the corresponding author. The data are not publicly available due to institutional policy.

Not applicable.

Not applicable.

  • 1. Jung CK, Bae JS, Park YJ. Re-increasing trends in thyroid cancer incidence after a short period of decrease in Korea: reigniting the debate on ultrasound screening. Endocrinol Metab 2022;37(5):816-818.
  • 2. Choi YM, Lee J, Kwak MK, Jeon MJ, Kim TY, Hong EG, et al. Recent changes in the incidence of thyroid cancer in Korea between 2005 and 2018: analysis of Korean national data. Endocrinol Metab 2022;37(5):791-799.
  • 3. Song RY, Sohn HJ, Paek SH, Kang KH. The first report of robotic bilateral modified radical neck dissection through the bilateral axillo-breast approach for papillary thyroid carcinoma with bilateral lateral neck metastasis. Surg Laparosc Endosc Percutan Tech 2020;30(3):e18-e22.
  • 4. Sarkar S, Banerjee S, Sarkar R, Sikder B. A review on the history of 'Thyroid Surgery'. Indian J Surg 2016;78(1):32-36.
  • 5. Arora A, Swords C, Garas G, Chaidas K, Prichard A, Budge J, et al. The perception of scar cosmesis following thyroid and parathyroid surgery: a prospective cohort study. Int J Surg 2016;25:38-43.
  • 6. Lee KE, Rao J, Youn YK. Endoscopic thyroidectomy with the da Vinci robot system using the bilateral axillary breast approach (BABA) technique: our initial experience. Surg Laparosc Endosc Percutan Tech 2009;19(3):e71-e75.

Figure & Data

References

    Citations

    Citations to this article as recorded by  

      Download Citation

      Download a citation file in RIS format that can be imported by all major citation management software, including EndNote, ProCite, RefWorks, and Reference Manager.

      Format:

      Include:

      Bilateral axillo-breast approach robotic total thyroidectomy without isthmectomy: a case report
      Ewha Med J. 2024;47(1):e7  Published online January 31, 2024
      Download Citation
      Download a citation file in RIS format that can be imported by all major citation management software, including EndNote, ProCite, RefWorks, and Reference Manager.

      Format:
      • RIS — For EndNote, ProCite, RefWorks, and most other reference management software
      • BibTeX — For JabRef, BibDesk, and other BibTeX-specific software
      Include:
      • Citation for the content below
      Bilateral axillo-breast approach robotic total thyroidectomy without isthmectomy: a case report
      Ewha Med J. 2024;47(1):e7  Published online January 31, 2024
      Close

      Figure

      • 0
      • 1
      • 2
      Bilateral axillo-breast approach robotic total thyroidectomy without isthmectomy: a case report
      Image Image Image
      Fig. 1. Thyroid ultrasonography of an isthmic tumor.
      Fig. 2. Left axillary incision scar after 2 weeks.
      Fig. 3. Specimen photography showing isthmic thyroid cancer measuring 3 cm.
      Bilateral axillo-breast approach robotic total thyroidectomy without isthmectomy: a case report
      TOP